HIF1 alpha antibody [RM242]

Cat. No. GTX33617
Cat. No.  GTX33617
Anti-HIF1 alpha antibody [RM242] used in Western Blot (WB). GTX33617
GTX33617 WB Image

WB analysis of Jurkat cell nontreated or treated with Cobalt(II) chloride (CoCl2) lysates using GTX33617 HIF1 alpha antibody [RM242].
Dilution : 1:1000

1 / 2
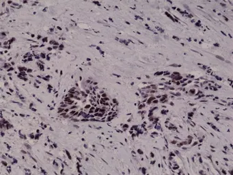
Anti-HIF1 alpha antibody [RM242] used in IHC (Paraffin sections) (IHC-P). GTX33617
GTX33617 IHC-P Image

IHC-P analysis of human breast cancer tissue using GTX33617 HIF1 alpha antibody [RM242].
Dilution : 1:1000

2 / 2
Anti-HIF1 alpha antibody [RM242] used in Western Blot (WB). GTX33617
Anti-HIF1 alpha antibody [RM242] used in IHC (Paraffin sections) (IHC-P). GTX33617
  • Host
    Rabbit
  • Clonality
    Monoclonal
  • Clone Name
    RM242
  • Isotype
    IgG
  • Applications
    WB IHC-P
  • Reactivity
    Human, Rat
See all HIF1 alpha products