HIF1AN antibody

Cat. No. GTX32652
Cat. No.  GTX32652
Anti-HIF1AN antibody used in Immunocytochemistry/ Immunofluorescence (ICC/IF). GTX32652
GTX32652 ICC/IF Image

ICC/IF analysis of L929 cells using GTX32652 HIF1AN antibody.
Blue : DAPI
Dilution : 1:100

1 / 7
Anti-HIF1AN antibody used in Western Blot (WB). GTX32652
GTX32652 WB Image

WB analysis of various sample lysates using GTX32652 HIF1AN antibody.
Dilution : 1:1000
Loading : 25μg per lane

2 / 7
Anti-HIF1AN antibody used in Immunoprecipitation (IP). GTX32652
GTX32652 IP Image

IP analysis of 293T cell lysate using GTX32652 HIF1AN antibody.
Antibody amount : 1μg / 200μg lysate
Dilution : 1:1000

3 / 7
Anti-HIF1AN antibody used in Western Blot (WB). GTX32652
GTX32652 WB Image

WB analysis of normal (control) and knockout (KO) 293T cell lysate using GTX32652 HIF1AN antibody.
Dilution : 1:1000
Loading : 25μg per lane

4 / 7
Anti-HIF1AN antibody used in IHC (Paraffin sections) (IHC-P). GTX32652
GTX32652 IHC-P Image

IHC-P analysis of mouse heart tissue using GTX32652 HIF1AN antibody.
Dilution : 1:100

5 / 7
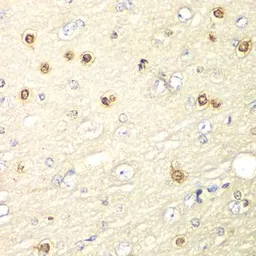
Anti-HIF1AN antibody used in IHC (Paraffin sections) (IHC-P). GTX32652
GTX32652 IHC-P Image

IHC-P analysis of rat brain tissue using GTX32652 HIF1AN antibody.
Dilution : 1:100

6 / 7
Anti-HIF1AN antibody used in IHC (Paraffin sections) (IHC-P). GTX32652
GTX32652 IHC-P Image

IHC-P analysis of human gastric cancer tissue using GTX32652 HIF1AN antibody.
Dilution : 1:100

7 / 7
Anti-HIF1AN antibody used in Immunocytochemistry/ Immunofluorescence (ICC/IF). GTX32652
Anti-HIF1AN antibody used in Western Blot (WB). GTX32652
Anti-HIF1AN antibody used in Immunoprecipitation (IP). GTX32652
Anti-HIF1AN antibody used in Western Blot (WB). GTX32652
Anti-HIF1AN antibody used in IHC (Paraffin sections) (IHC-P). GTX32652
Anti-HIF1AN antibody used in IHC (Paraffin sections) (IHC-P). GTX32652
Anti-HIF1AN antibody used in IHC (Paraffin sections) (IHC-P). GTX32652
  • Host
    Rabbit
  • Clonality
    Polyclonal
  • Isotype
    IgG
  • Applications
    WB ICC/IF IHC-P IP
  • Reactivity
    Human, Mouse, Rat
See all HIF1AN products