HLA-DMA antibody

Cat. No. GTX114939
Cat. No.  GTX114939
Anti-HLA-DMA antibody used in Western Blot (WB). GTX114939
GTX114939 WB Image

Sample (30 ug of whole cell lysate)
A: Hela
12% SDS PAGE
GTX114939 diluted at 1:1000

1 / 3
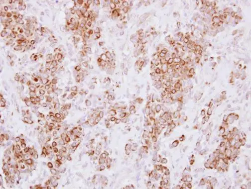
Anti-HLA-DMA antibody used in IHC (Paraffin sections) (IHC-P). GTX114939
GTX114939 IHC-P Image

Immunohistochemical analysis of paraffin-embedded human breast cancer, using HLA-DMA(GTX114939) antibody at 1:250 dilution.
Antigen Retrieval: Trilogy™ (EDTA based, pH 8.0) buffer, 15min

2 / 3
Anti-HLA-DMA antibody used in Western Blot (WB). GTX114939
GTX114939 WB Image

HLA-DMA antibody detects HLA-DMA protein by Western blot analysis.
A. 30 μg Jurkat whole cell lysate/extract
B. 30 μg Raji whole cell lysate/extract
12 % SDS-PAGE
HLA-DMA antibody (GTX114939) dilution: 1:500

3 / 3
Anti-HLA-DMA antibody used in Western Blot (WB). GTX114939
Anti-HLA-DMA antibody used in IHC (Paraffin sections) (IHC-P). GTX114939
Anti-HLA-DMA antibody used in Western Blot (WB). GTX114939
  • Host
    Rabbit
  • Clonality
    Polyclonal
  • Isotype
    IgG
  • Applications
    WB IHC-P
  • Reactivity
    Human
See all HLA-DMA products