HLA-H antibody

Cat. No. GTX56102
Cat. No.  GTX56102
Anti-HLA-H antibody used in Western Blot (WB). GTX56102
GTX56102 WB Image

WB analysis of A431 (A) whole cell lysates using GTX56102 HLA-H antibody.

1 / 2
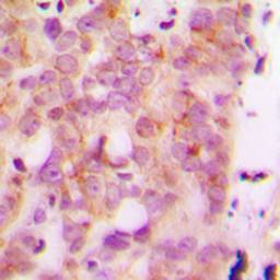
Anti-HLA-H antibody used in IHC (Paraffin sections) (IHC-P). GTX56102
GTX56102 IHC-P Image

IHC-P analysis of formalin fixed human breast cancer tissue section using GTX56102 HLA-H antibody.
Antigen retrieval : Heat mediated antigen retrieval with sodium citrate buffer (pH 6.0)

2 / 2
Anti-HLA-H antibody used in Western Blot (WB). GTX56102
Anti-HLA-H antibody used in IHC (Paraffin sections) (IHC-P). GTX56102
  • Host
    Rabbit
  • Clonality
    Polyclonal
  • Isotype
    IgG
  • Applications
    WB IHC-P
  • Reactivity
    Human
See all HLA-H products