HMGB1 antibody [HL2060]

Cat. No. GTX637964
Cat. No.  GTX637964
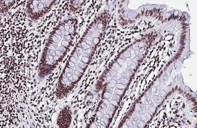
Anti-HMGB1 antibody [HL2060] used in IHC (Paraffin sections) (IHC-P). GTX637964
GTX637964 IHC-P Image

HMGB1 antibody [HL2060] detects HMGB1 protein by immunohistochemical analysis.
Sample: Paraffin-embedded human appendix.
HMGB1 stained by HMGB1 antibody [HL2060] (GTX637964) diluted at 1:400.
Antigen Retrieval: Citrate buffer, pH 6.0, 15 min

1 / 10
Anti-HMGB1 antibody [HL2060] used in IHC (Paraffin sections) (IHC-P). GTX637964
GTX637964 IHC-P Image

HMGB1 antibody [HL2060] detects HMGB1 protein by immunohistochemical analysis.
Sample: Paraffin-embedded human cerebellum.
HMGB1 stained by HMGB1 antibody [HL2060] (GTX637964) diluted at 1:400.
Antigen Retrieval: Citrate buffer, pH 6.0, 15 min

2 / 10
Anti-HMGB1 antibody [HL2060] used in Immunocytochemistry/ Immunofluorescence (ICC/IF). GTX637964
GTX637964 ICC/IF Image

HMGB1 antibody [HL2060] detects HMGB1 protein by immunofluorescent analysis.
Sample: MDCK cells were fixed in 4% paraformaldehyde at RT for 15 min.
Green: HMGB1 stained by HMGB1 antibody [HL2060] (GTX637964) diluted at 1:500.
Red: alpha Tubulin, a cytoskeleton marker, stained by alpha Tubulin antibody [GT114] (GTX628802) diluted at 1:1000.

3 / 10
Anti-HMGB1 antibody [HL2060] used in IHC (Paraffin sections) (IHC-P). GTX637964
GTX637964 IHC-P Image

HMGB1 antibody [HL2060] detects HMGB1 protein at cytoplasm and nucleus by immunohistochemical analysis.
Sample: Paraffin-embedded cat kidney.
HMGB1 stained by HMGB1 antibody [HL2060] (GTX637964) diluted at 1:100.
Antigen Retrieval: Citrate buffer, pH 6.0, 15 min

4 / 10
Anti-HMGB1 antibody [HL2060] used in Western Blot (WB). GTX637964
GTX637964 WB Image

Whole cell extract (30 μg) was separated by 12% SDS-PAGE, and the membrane was blotted with HMGB1 antibody [HL2060] (GTX637964) diluted at 1:1000. The HRP-conjugated anti-rabbit IgG antibody (GTX213110-01) was used to detect the primary antibody.

5 / 10
Anti-HMGB1 antibody [HL2060] used in IHC (Paraffin sections) (IHC-P). GTX637964
GTX637964 IHC-P Image

HMGB1 antibody [HL2060] detects HMGB1 protein by immunohistochemical analysis.
Sample: Paraffin-embedded rat tissue.
HMGB1 stained by HMGB1 antibody [HL2060] (GTX637964) diluted at 1:200.
Antigen Retrieval: Citrate buffer, pH 6.0, 15 min

6 / 10
Anti-HMGB1 antibody [HL2060] used in Immunocytochemistry/ Immunofluorescence (ICC/IF). GTX637964
GTX637964 ICC/IF Image

HMGB1 antibody [HL2060] detects HMGB1 protein at nucleus by immunofluorescent analysis.
Sample: DIV9 rat E18 primary hippocampal neuron cells were fixed in 4% paraformaldehyde at RT for 15 min.
Green: HMGB1 stained by HMGB1 antibody [HL2060] (GTX637964) diluted at 1:250.
Red: Tau, an axon marker, stained by Tau antibody [GT287] (GTX634809) diluted at 1:500.

7 / 10
Anti-HMGB1 antibody [HL2060] used in Immunocytochemistry/ Immunofluorescence (ICC/IF). GTX637964
GTX637964 ICC/IF Image

HMGB1 antibody [HL2060] detects HMGB1 protein at nucleus by immunofluorescent analysis.
Sample: HeLa cells were fixed in 4% paraformaldehyde at RT for 15 min.
Green: HMGB1 stained by HMGB1 antibody [HL2060] (GTX637964) diluted at 1:500.
Red: alpha Tubulin, a cytoskeleton marker, stained by alpha Tubulin antibody [GT114] (GTX628802) diluted at 1:1000.

8 / 10
Anti-HMGB1 antibody [HL2060] used in IHC (Paraffin sections) (IHC-P). GTX637964
GTX637964 IHC-P Image

HMGB1 antibody [HL2060] detects HMGB1 protein at nucleus by immunohistochemical analysis.
Sample: Paraffin-embedded mouse tissues.
HMGB1 stained by HMGB1 antibody [HL2060] (GTX637964) diluted at 1:100.
Antigen Retrieval: Citrate buffer, pH 6.0, 15 min

9 / 10
Anti-HMGB1 antibody [HL2060] used in Western Blot (WB). GTX637964
GTX637964 WB Image

Various whole cell extracts (30 μg) were separated by 12% SDS-PAGE, and the membrane was blotted with HMGB1 antibody [HL2060] (GTX637964) diluted at 1:1000. The HRP-conjugated anti-rabbit IgG antibody (GTX213110-01) was used to detect the primary antibody.

10 / 10
Anti-HMGB1 antibody [HL2060] used in IHC (Paraffin sections) (IHC-P). GTX637964
Anti-HMGB1 antibody [HL2060] used in IHC (Paraffin sections) (IHC-P). GTX637964
Anti-HMGB1 antibody [HL2060] used in Immunocytochemistry/ Immunofluorescence (ICC/IF). GTX637964
Anti-HMGB1 antibody [HL2060] used in IHC (Paraffin sections) (IHC-P). GTX637964
Anti-HMGB1 antibody [HL2060] used in Western Blot (WB). GTX637964
Anti-HMGB1 antibody [HL2060] used in IHC (Paraffin sections) (IHC-P). GTX637964
Anti-HMGB1 antibody [HL2060] used in Immunocytochemistry/ Immunofluorescence (ICC/IF). GTX637964
Anti-HMGB1 antibody [HL2060] used in Immunocytochemistry/ Immunofluorescence (ICC/IF). GTX637964
Anti-HMGB1 antibody [HL2060] used in IHC (Paraffin sections) (IHC-P). GTX637964
Anti-HMGB1 antibody [HL2060] used in Western Blot (WB). GTX637964
  • Host
    Rabbit
  • Clonality
    Monoclonal
  • Clone Name
    HL2060
  • Isotype
    IgG
  • Applications
    WB ICC/IF IHC-P
  • Reactivity
    Human, Mouse, Rat, Cat, Dog
See all HMGB1 products