HMGB1 antibody

Cat. No. GTX127344
Cat. No.  GTX127344
Anti-HMGB1 antibody used in Western Blot (WB). GTX127344
GTX127344 WB Image

Non-transfected (–) and transfected (+) 293T whole cell extracts (30 μg) were separated by 12% SDS-PAGE, and the membrane was blotted with HMGB1 antibody (GTX127344) diluted at 1:5000.

1 / 16
Anti-HMGB1 antibody used in Western Blot (WB). GTX127344
GTX127344 WB Image

Various tissue extracts (50 μg) were separated by 12% SDS-PAGE, and the membrane was blotted with HMGB1 antibody (GTX127344) diluted at 1:1000. The HRP-conjugated anti-rabbit IgG antibody (GTX213110-01) was used to detect the primary antibody.

2 / 16
Anti-HMGB1 antibody used in Western Blot (WB). GTX127344
GTX127344 WB Image

Various whole cell extracts (30 μg) were separated by 12% SDS-PAGE, and the membrane was blotted with HMGB1 antibody (GTX127344) diluted at 1:1000. The HRP-conjugated anti-rabbit IgG antibody (GTX213110-01) was used to detect the primary antibody.

3 / 16
Anti-HMGB1 antibody used in IHC (Paraffin sections) (IHC-P). GTX127344
GTX127344 IHC-P Image

HMGB1 antibody detects HMGB1 protein at nucleus by immunohistochemical analysis.
Sample: Paraffin-embedded mouse intestine.
HMGB1 stained by HMGB1 antibody (GTX127344) diluted at 1:1000.
Antigen Retrieval: Citrate buffer, pH 6.0, 15 min

4 / 16
Anti-HMGB1 antibody used in IHC (Paraffin sections) (IHC-P). GTX127344
GTX127344 IHC-P Image

HMGB1 antibody detects HMGB1 protein at nucleus by immunohistochemical analysis.
Sample: Paraffin-embedded mouse intestine.
HMGB1 stained by HMGB1 antibody (GTX127344) diluted at 1:500.
Antigen Retrieval: Citrate buffer, pH 6.0, 15 min

5 / 16
Anti-HMGB1 antibody used in Immunoprecipitation (IP). GTX127344
GTX127344 IP Image

Immunoprecipitation of HMGB1 protein from 293T whole cell extracts using 5 μg of HMGB1 antibody (GTX127344).
Western blot analysis was performed using HMGB1 antibody (GTX127344).
EasyBlot anti-Rabbit IgG (GTX221666-01) was used as a secondary reagent.

6 / 16
Anti-HMGB1 antibody used in IHC (Paraffin sections) (IHC-P). GTX127344
GTX127344 IHC-P Image

Immunohistochemical analysis of paraffin-embedded SkHep1 xenograft, using HMGB1(GTX127344) antibody at 1:500 dilution.
Antigen Retrieval: Trilogy™ (EDTA based, pH 8.0) buffer, 15min

7 / 16
Anti-HMGB1 antibody used in Immunocytochemistry/ Immunofluorescence (ICC/IF). GTX127344
GTX127344 ICC/IF Image

HMGB1 antibody detects HMGB1 protein at nucleus by immunofluorescent analysis.
Sample: NT2D1 cells were fixed in 4% paraformaldehyde at RT for 15 min.
Green: HMGB1 protein stained by HMGB1 antibody (GTX127344) diluted at 1:500.
Blue: Hoechst 33342 staining.
Scale bar = 10 μm.

8 / 16
Anti-HMGB1 antibody used in Immunocytochemistry/ Immunofluorescence (ICC/IF). GTX127344
GTX127344 ICC/IF Image

HMGB1 antibody detects HMGB1 protein at nucleus by immunofluorescent analysis.
Sample: HeLa cells were fixed in 4% paraformaldehyde at RT for 15 min.
Green: HMGB1 stained by HMGB1 antibody (GTX127344) diluted at 1:500.
Red: alpha Tubulin, a cytoskeleton marker, stained by alpha Tubulin antibody [GT114] (GTX628802) diluted at 1:1000.

9 / 16
Anti-HMGB1 antibody used in Immunocytochemistry/ Immunofluorescence (ICC/IF). GTX127344
GTX127344 ICC/IF Image

HMGB1 antibody detects HMGB1 protein at nucleus by immunofluorescent analysis.
Sample: DIV9 rat E18 primary cortical neurons were fixed in 4% paraformaldehyde at RT for 15 min.
Green: HMGB1 protein stained by HMGB1 antibody (GTX127344) diluted at 1:500.
Red: beta Tubulin 3/ Tuj1, a neuron cell marker, stained by beta Tubulin 3/ Tuj1 antibody [GT11710] (GTX631836) diluted at 1:500.

10 / 16
Anti-HMGB1 antibody used in IHC (Paraffin sections) (IHC-P). GTX127344
GTX127344 IHC-P Image

HMGB1 antibody detects HMGB1 protein at nucleus by immunohistochemical analysis.
Sample: Paraffin-embedded mouse colon.
HMGB1 stained by HMGB1 antibody (GTX127344) diluted at 1:1000.
Antigen Retrieval: Citrate buffer, pH 6.0, 15 min

11 / 16
Anti-HMGB1 antibody used in IHC (Paraffin sections) (IHC-P). GTX127344
GTX127344 IHC-P Image

HMGB1 antibody detects HMGB1 protein at nucleus on mouse vein by immunohistochemical analysis.
Sample: Paraffin-embedded mouse vein.
HMGB1 antibody (GTX127344) dilution: 1:500.

Antigen Retrieval: Trilogy™ (EDTA based, pH 8.0) buffer, 15min

12 / 16
Anti-HMGB1 antibody used in Western Blot (WB). GTX127344
GTX127344 WB Image

Non-transfected (–) and transfected (+) 293T whole cell extracts (30 μg) were separated by 12% SDS-PAGE, and the membrane was blotted with HMGB1 antibody (GTX127344) diluted at 1:3000. The HRP-conjugated anti-rabbit IgG antibody (GTX213110-01) was used to detect the primary antibody.

13 / 16
Anti-HMGB1 antibody used in IHC (Frozen sections) (IHC-Fr). GTX127344
GTX127344 IHC-Fr Image

HMGB1 antibody detects HMGB1 Protein expression by immunohistochemical analysis.
Sample: Frozen-sectioned adult mouse cerebellum.
Green: HMGB1 stained by HMGB1 antibody (GTX127344) diluted at 1:250.
Red: NF-H, stained by NF-H antibody [GT114] (GTX634289) diluted at 1:500.
Blue: Fluoroshield with DAPI (GTX30920).

Antigen Retrieval: Citrate buffer, pH 6.0, 5 min

14 / 16
Anti-HMGB1 antibody used in IHC (Paraffin sections) (IHC-P). GTX127344
GTX127344 IHC-P Image

HMGB1 antibody detects HMGB1 protein at nucleus by immunohistochemical analysis.
Sample: Paraffin-embedded mouse esophagus.
HMGB1 stained by HMGB1 antibody (GTX127344) diluted at 1:500.
Antigen Retrieval: Citrate buffer, pH 6.0, 15 min

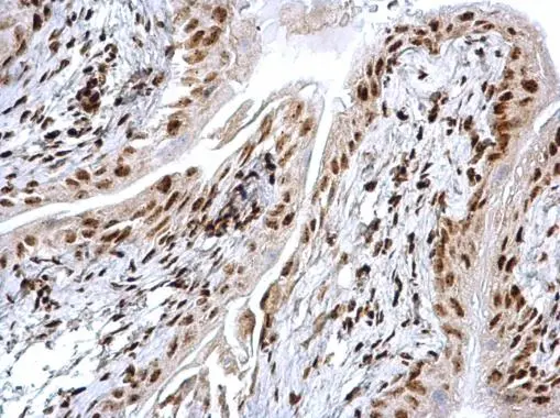
15 / 16
Anti-HMGB1 antibody used in IHC (Paraffin sections) (IHC-P). GTX127344
GTX127344 IHC-P Image

HMGB1 antibody detects HMGB1 protein at nucleus on mouse vein by immunohistochemical analysis.
Sample: Paraffin-embedded mouse vein.
HMGB1 antibody (GTX127344) dilution: 1:500.

Antigen Retrieval: Trilogy™ (EDTA based, pH 8.0) buffer, 15min

16 / 16
Anti-HMGB1 antibody used in Western Blot (WB). GTX127344
Anti-HMGB1 antibody used in Western Blot (WB). GTX127344
Anti-HMGB1 antibody used in Western Blot (WB). GTX127344
Anti-HMGB1 antibody used in IHC (Paraffin sections) (IHC-P). GTX127344
Anti-HMGB1 antibody used in IHC (Paraffin sections) (IHC-P). GTX127344
Anti-HMGB1 antibody used in Immunoprecipitation (IP). GTX127344
Anti-HMGB1 antibody used in IHC (Paraffin sections) (IHC-P). GTX127344
Anti-HMGB1 antibody used in Immunocytochemistry/ Immunofluorescence (ICC/IF). GTX127344
Anti-HMGB1 antibody used in Immunocytochemistry/ Immunofluorescence (ICC/IF). GTX127344
Anti-HMGB1 antibody used in Immunocytochemistry/ Immunofluorescence (ICC/IF). GTX127344
Anti-HMGB1 antibody used in IHC (Paraffin sections) (IHC-P). GTX127344
Anti-HMGB1 antibody used in IHC (Paraffin sections) (IHC-P). GTX127344
Anti-HMGB1 antibody used in Western Blot (WB). GTX127344
Anti-HMGB1 antibody used in IHC (Frozen sections) (IHC-Fr). GTX127344
Anti-HMGB1 antibody used in IHC (Paraffin sections) (IHC-P). GTX127344
Anti-HMGB1 antibody used in IHC (Paraffin sections) (IHC-P). GTX127344
  • Host
    Rabbit
  • Clonality
    Polyclonal
  • Isotype
    IgG
  • Applications
    WB ICC/IF IHC-P IHC-Fr IP RIP
  • Reactivity
    Human, Mouse, Rat
See all HMGB1 products