HOXB13 antibody [N1C2]

Cat. No. GTX101576
Cat. No.  GTX101576
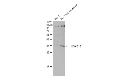
Anti-HOXB13 antibody [N1C2] used in Western Blot (WB). GTX101576
GTX101576 WB Image

PC-3 whole cell and nuclear extracts (30 μg) were separated by 12% SDS-PAGE, and the membrane was blotted with HOXB13 antibody [N1C2] (GTX101576) diluted at 1:500. The HRP-conjugated anti-rabbit IgG antibody (GTX213110-01) was used to detect the primary antibody.

1 / 1
Anti-HOXB13 antibody [N1C2] used in Western Blot (WB). GTX101576
  • Host
    Rabbit
  • Clonality
    Polyclonal
  • Isotype
    IgG
  • Applications
    WB
  • Reactivity
    Human
See all HOXB13 products