HP1 alpha antibody, Internal

Cat. No. GTX89432
Cat. No.  GTX89432
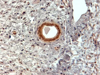
Anti-HP1 alpha antibody, Internal used in IHC (Paraffin sections) (IHC-P). GTX89432
GTX89432 IHC-P Image

IHC-P analysis of human uterus using GTX89432 HP1 alpha antibody, Internal.
Antigen retrieval : citrate buffer pH 6
Dilution : 2μg/ml

1 / 3
Anti-HP1 alpha antibody, Internal used in Flow cytometry (FCM). GTX89432
GTX89432 FCM Image

FACS analysis of PFA fixed HeLa cells using GTX89432 HP1 alpha antibody, Internal.
Blue : Primary antibody
Black : Isotype control
Permeabilization : 0.5% Triton
Dilution : 10μg/ml

2 / 3
Anti-HP1 alpha antibody, Internal used in Western Blot (WB). GTX89432
GTX89432 WB Image

WB analysis of K562 (A), MCF7 (B) and NIH-3T3 (C) cell lysate using GTX89432 HP1 alpha antibody, Internal.
Dilution : 0.1μg/ml
Loading : 35μg protein in RIPA buffer

3 / 3
Anti-HP1 alpha antibody, Internal used in IHC (Paraffin sections) (IHC-P). GTX89432
Anti-HP1 alpha antibody, Internal used in Flow cytometry (FCM). GTX89432
Anti-HP1 alpha antibody, Internal used in Western Blot (WB). GTX89432
  • Host
    Goat
  • Clonality
    Polyclonal
  • Isotype
    IgG
  • Applications
    WB IHC-P FCM
  • Reactivity
    Human, Mouse
See all HP1 alpha products