HPRT antibody

Cat. No. GTX101148
Cat. No.  GTX101148
Anti-HPRT antibody used in Western Blot (WB). GTX101148
GTX101148 WB Image

Wild-type (WT) and HPRT knockout (KO) 293T cell extracts (30 μg) were separated by 12% SDS-PAGE, and the membrane was blotted with HPRT antibody (GTX101148) diluted at 1:1000. The HRP-conjugated anti-rabbit IgG antibody (GTX213110-01) was used to detect the primary antibody.

1 / 7
Anti-HPRT antibody used in Western Blot (WB). GTX101148
GTX101148 WB Image

Various whole cell extracts (30 μg) were separated by 12% SDS-PAGE, and the membrane was blotted with HPRT antibody (GTX101148) diluted at 1:1000.

2 / 7
Anti-HPRT antibody used in Western Blot (WB). GTX101148
GTX101148 WB Image

Rat tissue extract (50 μg) was separated by 12% SDS-PAGE, and the membrane was blotted with HPRT antibody (GTX101148) diluted at 1:500.

3 / 7
Anti-HPRT antibody used in Western Blot (WB). GTX101148
GTX101148 WB Image

Various whole cell extracts (30 μg) were separated by 12% SDS-PAGE, and the membrane was blotted with HPRT antibody (GTX101148) diluted at 1:500.

4 / 7
Anti-HPRT antibody used in Immunocytochemistry/ Immunofluorescence (ICC/IF). GTX101148
GTX101148 ICC/IF Image

Immunofluorescence analysis of methanol-fixed A549, using HPRT(GTX101148) antibody at 1:500 dilution.

5 / 7
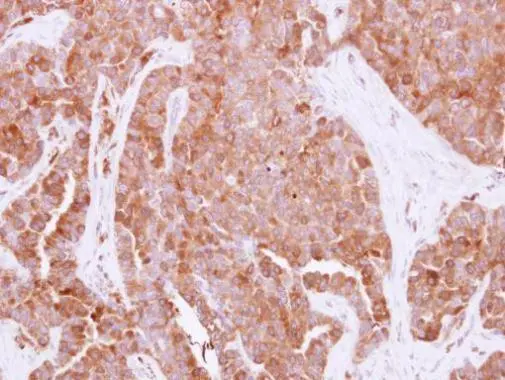
Anti-HPRT antibody used in IHC (Paraffin sections) (IHC-P). GTX101148
GTX101148 IHC-P Image

Immunohistochemical analysis of paraffin-embedded human adenocarcinoma, using HPRT(GTX101148) antibody at 1:500 dilution.
Antigen Retrieval: Trilogy™ (EDTA based, pH 8.0) buffer, 15min

6 / 7
Anti-HPRT antibody used in Western Blot (WB). GTX101148
GTX101148 WB Image

Zebrafish tissue extract (30 μg) was separated by 12% SDS-PAGE, and the membrane was blotted with HPRT antibody (GTX101148) diluted at 1:500.

7 / 7
Anti-HPRT antibody used in Western Blot (WB). GTX101148
Anti-HPRT antibody used in Western Blot (WB). GTX101148
Anti-HPRT antibody used in Western Blot (WB). GTX101148
Anti-HPRT antibody used in Western Blot (WB). GTX101148
Anti-HPRT antibody used in Immunocytochemistry/ Immunofluorescence (ICC/IF). GTX101148
Anti-HPRT antibody used in IHC (Paraffin sections) (IHC-P). GTX101148
Anti-HPRT antibody used in Western Blot (WB). GTX101148
  • Host
    Rabbit
  • Clonality
    Polyclonal
  • Isotype
    IgG
  • Applications
    WB ICC/IF IHC-P
  • Reactivity
    Human, Rat, Zebrafish
See all HPRT products