HPS3 antibody [C3], C-term

Cat. No. GTX107745
Cat. No.  GTX107745
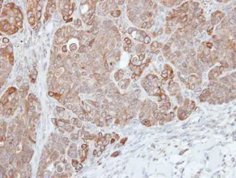
Anti-HPS3 antibody [C3], C-term used in IHC (Paraffin sections) (IHC-P). GTX107745
GTX107745 IHC-P Image

Immunohistochemical analysis of paraffin-embedded SW480 xenograft, using HPS3(GTX107745) antibody at 1:500 dilution.
Antigen Retrieval: Trilogy™ (EDTA based, pH 8.0) buffer, 15min

1 / 3
Anti-HPS3 antibody [C3], C-term used in Western Blot (WB). GTX107745
GTX107745 WB Image

Sample(30 μg of whole cell lysate)
A:293T
B:A431 (GTX27909)
C:H1299
D:HeLa S3 (GTX14654)
E:Hep G2 (GTX27900)
F:MOLT4 (GTX27912)
G:Raji (GTX27908)
7.5% SDS PAGE
GTX107745 diluted at 1:1000

2 / 3
Anti-HPS3 antibody [C3], C-term used in Immunocytochemistry/ Immunofluorescence (ICC/IF). GTX107745
GTX107745 ICC/IF Image

HPS3 antibody [C3], C-term detects HPS3 protein at cytoplasm by immunofluorescent analysis.
Sample: HeLa cells were fixed in 4% paraformaldehyde at RT for 15 min.
Green: HPS3 protein stained by HPS3 antibody [C3], C-term (GTX107745) diluted at 1:500.
Blue: Hoechst 33343 staining.

3 / 3
Anti-HPS3 antibody [C3], C-term used in IHC (Paraffin sections) (IHC-P). GTX107745
Anti-HPS3 antibody [C3], C-term used in Western Blot (WB). GTX107745
Anti-HPS3 antibody [C3], C-term used in Immunocytochemistry/ Immunofluorescence (ICC/IF). GTX107745
  • Host
    Rabbit
  • Clonality
    Polyclonal
  • Isotype
    IgG
  • Applications
    WB ICC/IF IHC-P
  • Reactivity
    Human
See all HPS3 products