HSD3B2 antibody

Cat. No. GTX54092
Cat. No.  GTX54092
Anti-HSD3B2 antibody used in Immunocytochemistry/ Immunofluorescence (ICC/IF). GTX54092
GTX54092 ICC/IF Image

ICC/IF analysis of A549 cells using GTX54092 HSD3B2 antibody.

1 / 2
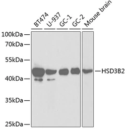
Anti-HSD3B2 antibody used in Western Blot (WB). GTX54092
GTX54092 WB Image

WB analysis of various sample lysates using GTX54092 HSD3B2 antibody.
Dilution : 1:1000
Loading : 25μg per lane

2 / 2
Anti-HSD3B2 antibody used in Immunocytochemistry/ Immunofluorescence (ICC/IF). GTX54092
Anti-HSD3B2 antibody used in Western Blot (WB). GTX54092
  • Host
    Rabbit
  • Clonality
    Polyclonal
  • Isotype
    IgG
  • Applications
    WB ICC/IF
  • Reactivity
    Human, Mouse
See all HSD3B2 products