HSP105 antibody, Internal

Cat. No. GTX81974
Cat. No.  GTX81974
Anti-HSP105 antibody, Internal used in Western Blot (WB). GTX81974
GTX81974 WB Image

WB analysis of K562 cell lysate (35ug/lane) using GTX81974 HSP105 antibody, Internal.

1 / 3
Anti-HSP105 antibody, Internal used in Flow cytometry (FCM). GTX81974
GTX81974 FCM Image

FACS analysis of K562 cells using GTX81974 HSP105 antibody, Internal.
Top histogram : negative control
Bottom histogram : K562 cells

2 / 3
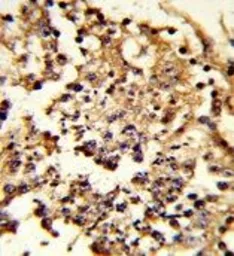
Anti-HSP105 antibody, Internal used in IHC (Paraffin sections) (IHC-P). GTX81974
GTX81974 IHC-P Image

IHC-P analysis of human testis tissue using GTX81974 HSP105 antibody, Internal.

3 / 3
Anti-HSP105 antibody, Internal used in Western Blot (WB). GTX81974
Anti-HSP105 antibody, Internal used in Flow cytometry (FCM). GTX81974
Anti-HSP105 antibody, Internal used in IHC (Paraffin sections) (IHC-P). GTX81974
  • Host
    Rabbit
  • Clonality
    Polyclonal
  • Isotype
    IgG
  • Applications
    WB IHC-P FCM
  • Reactivity
    Human
See all HSP105 products