HSP27 (phospho Ser15) antibody

Cat. No. GTX79050
Cat. No.  GTX79050
Anti-HSP27 (phospho Ser15) antibody used in Western Blot (WB). GTX79050
GTX79050 WB Image

WB analysis of UV treated HeLa cell lysate using GTX79050 HSP27 (phospho Ser15) antibody (Lane 3 and 4) and HSP27 antibody (Lane 1 and 2).

1 / 2
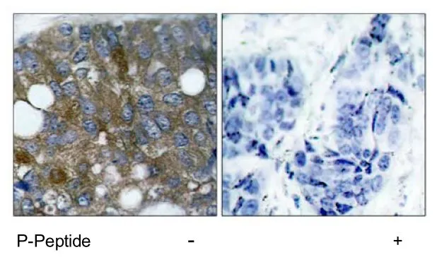
Anti-HSP27 (phospho Ser15) antibody used in IHC (Paraffin sections) (IHC-P). GTX79050
GTX79050 IHC-P Image

IHC-P analysis of human breast carcinoma tissue using GTX79050 HSP27 (phospho Ser15) antibody.

2 / 2
Anti-HSP27 (phospho Ser15) antibody used in Western Blot (WB). GTX79050
Anti-HSP27 (phospho Ser15) antibody used in IHC (Paraffin sections) (IHC-P). GTX79050
  • Host
    Rabbit
  • Clonality
    Polyclonal
  • Isotype
    IgG
  • Applications
    WB IHC-P
  • Reactivity
    Human
See all HSP27 products