HSP60 antibody [2E1/53]

Cat. No. GTX25479
Cat. No.  GTX25479
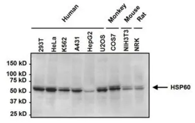
Anti-HSP60 antibody [2E1/53] used in Western Blot (WB). GTX25479
GTX25479 WB Image

WB analysis of 50 ug of the indicated whole cell lysates using GTX25479 HSP60 antibody [2E1/53].
Dilution : 1 μg/ml

1 / 11
Anti-HSP60 antibody [2E1/53] used in Immunocytochemistry/ Immunofluorescence (ICC/IF). GTX25479
GTX25479 ICC/IF Image

ICC/IF analysis of NIH-3T3 cells using GTX25479 HSP60 antibody [2E1/53]. Cells were probed without (left) or with(right) an antibody.
Green : Primary antibody
Blue : Nuclei
Red : Actin
Fixation : Formalin
Permeabilization : 0.1% Triton X-100 in TBS for 5-10 minute
Dilution : 1:20 overnight at 4ºC

2 / 11
Anti-HSP60 antibody [2E1/53] used in Immunoprecipitation (IP). GTX25479
GTX25479 IP Image

IP analysis of HeLa cell lysates using GTX25479 HSP60 antibody [2E1/53].
IP reaction : 2μg antibody / 500μg lysate
Dilution : 1 μg/ml

3 / 11
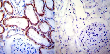
Anti-HSP60 antibody [2E1/53] used in IHC (Paraffin sections) (IHC-P). GTX25479
GTX25479 IHC-P Image

IHC-P analysis of human kidney tissue using GTX25479 HSP60 antibody [2E1/53].
Left : Primary antibody
Right : Negative control without primary antibody
Antigen retrieval : heat induced antigen retrieval was performed using 10mM sodium citrate (pH6.0) buffer, microwaved for 8-15 minutes
Dilution : 1:100

4 / 11
Anti-HSP60 antibody [2E1/53] used in Immunocytochemistry/ Immunofluorescence (ICC/IF). GTX25479
GTX25479 ICC/IF Image

ICC/IF analysis of HeLa cells using GTX25479 HSP60 antibody [2E1/53]. Cells were probed without (right) or with(left) an antibody.
Green : Primary antibody
Blue : Nuclei
Red : Actin
Fixation : Formalin
Permeabilization : 0.1% Triton X-100 in TBS for 5-10 minute
Dilution : 1:200 and incubated overnight in a humidified chamber

5 / 11
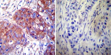
Anti-HSP60 antibody [2E1/53] used in IHC (Paraffin sections) (IHC-P). GTX25479
GTX25479 IHC-P Image

IHC-P analysis of human breast carcinoma tissue using GTX25479 HSP60 antibody [2E1/53].
Left : Primary antibody
Right : Negative control without primary antibody
Antigen retrieval : heat induced antigen retrieval was performed using 10mM sodium citrate (pH6.0) buffer, microwaved for 8-15 minutes
Dilution : 1:20

6 / 11
Anti-HSP60 antibody [2E1/53] used in Immunocytochemistry/ Immunofluorescence (ICC/IF). GTX25479
GTX25479 ICC/IF Image

ICC/IF analysis of HeLa cells using GTX25479 HSP60 antibody [2E1/53]. Cells were probed without (right) or with(left) an antibody.
Green : Primary antibody
Blue : Nuclei
Red : Actin
Fixation : formaldehyde
Dilution : 1:100 overnight at 4 ºC

7 / 11
Anti-HSP60 antibody [2E1/53] used in Immunocytochemistry/ Immunofluorescence (ICC/IF). GTX25479
GTX25479 ICC/IF Image

ICC/IF analysis of NIH-3T3 cells using GTX25479 HSP60 antibody [2E1/53]. Cells were probed without (left) or with(right) an antibody.
Green : Primary antibody
Blue : Nuclei
Red : Actin
Fixation : formaldehyde
Dilution : 1:100 overnight at 4 ºC

8 / 11
Anti-HSP60 antibody [2E1/53] used in Immunocytochemistry/ Immunofluorescence (ICC/IF). GTX25479
GTX25479 ICC/IF Image

ICC/IF analysis of HeLa and NIH3T3 cells using GTX25479 HSP60 antibody [2E1/53].
Green : Primary antibody
Red : Actin
Fixation : Formalin
Permeabilization : 0.1% Triton X-100 in TBS for 10 minutes
Dilution : 10 μg/ml for at least 1 hour at room temperature

9 / 11
Anti-HSP60 antibody [2E1/53] used in Immunocytochemistry/ Immunofluorescence (ICC/IF). GTX25479
GTX25479 ICC/IF Image

ICC/IF analysis of U251 cells using GTX25479 HSP60 antibody [2E1/53]. Cells were probed without (right) or with(left) an antibody.
Green : Primary antibody
Blue : Nuclei
Red : Actin
Fixation : formaldehyde
Dilution : 1:200 overnight at 4ºC

10 / 11
Anti-HSP60 antibody [2E1/53] used in Immunocytochemistry/ Immunofluorescence (ICC/IF). GTX25479
GTX25479 ICC/IF Image

ICC/IF analysis of A431 cells using GTX25479 HSP60 antibody [2E1/53]. Cells were probed without (right) or with(left) an antibody.
Green : Primary antibody
Blue : Nuclei
Red : Actin
Fixation : Formalin
Permeabilization : 0.1% Triton X-100 in TBS for 5-10 minute
Dilution : 1:100 incubated overnight in a humidified chamber

11 / 11
Anti-HSP60 antibody [2E1/53] used in Western Blot (WB). GTX25479
Anti-HSP60 antibody [2E1/53] used in Immunocytochemistry/ Immunofluorescence (ICC/IF). GTX25479
Anti-HSP60 antibody [2E1/53] used in Immunoprecipitation (IP). GTX25479
Anti-HSP60 antibody [2E1/53] used in IHC (Paraffin sections) (IHC-P). GTX25479
Anti-HSP60 antibody [2E1/53] used in Immunocytochemistry/ Immunofluorescence (ICC/IF). GTX25479
Anti-HSP60 antibody [2E1/53] used in IHC (Paraffin sections) (IHC-P). GTX25479
Anti-HSP60 antibody [2E1/53] used in Immunocytochemistry/ Immunofluorescence (ICC/IF). GTX25479
Anti-HSP60 antibody [2E1/53] used in Immunocytochemistry/ Immunofluorescence (ICC/IF). GTX25479
Anti-HSP60 antibody [2E1/53] used in Immunocytochemistry/ Immunofluorescence (ICC/IF). GTX25479
Anti-HSP60 antibody [2E1/53] used in Immunocytochemistry/ Immunofluorescence (ICC/IF). GTX25479
Anti-HSP60 antibody [2E1/53] used in Immunocytochemistry/ Immunofluorescence (ICC/IF). GTX25479
  • Host
    Mouse
  • Clonality
    Monoclonal
  • Clone Name
    2E1/53
  • Isotype
    IgM
  • Applications
    WB ICC/IF IHC-P IP ELISA IHC
  • Reactivity
    Human, Mouse, Rat, Primate
See all HSP60 products