HSP60 antibody [3G8]

Cat. No. GTX60424
Cat. No.  GTX60424
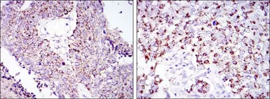
Anti-HSP60 antibody [3G8] used in IHC (Paraffin sections) (IHC-P). GTX60424
GTX60424 IHC-P Image

IHC-P analysis of breast cancer tissue (left) and colon cancer tissue (right) using GTX60424 HSP60 antibody [3G8].

1 / 6
Anti-HSP60 antibody [3G8] used in Immunocytochemistry/ Immunofluorescence (ICC/IF). GTX60424
GTX60424 ICC/IF Image

ICC/IF analysis of 3T3-L1 cells using GTX60424 HSP60 antibody [3G8].
Green : HSP60
Blue: DRAQ5 fluorescent DNA dye
Red: Actin filaments

2 / 6
Anti-HSP60 antibody [3G8] used in Flow cytometry (FCM). GTX60424
GTX60424 FCM Image

FACS analysis of HeLa cells using GTX60424 HSP60 antibody [3G8].
Green : HSP60
Purple : negative control

3 / 6
Anti-HSP60 antibody [3G8] used in Western Blot (WB). GTX60424
GTX60424 WB Image

WB analysis of T47D (1), HeLa (2), HepG2 (3), A549 (4), Jurkat (5), HEK293 (6), NIH3T3 (7), PC-12 (8) and Cos7 (9) cell lysate using GTX60424 HSP60 antibody [3G8].

4 / 6
Anti-HSP60 antibody [3G8] used in ELISA (ELISA). GTX60424
GTX60424 ELISA Image

ELISA analysis of antigen using GTX60424 HSP60 antibody [3G8].
Red : Control antigen 100ng
Purple : Antigen 10ng
Green : Antigen 50ng
Blue : Antigen 100ng

5 / 6
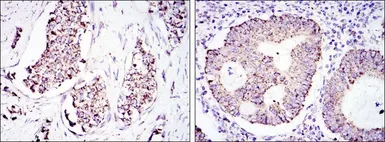
Anti-HSP60 antibody [3G8] used in IHC (Paraffin sections) (IHC-P). GTX60424
GTX60424 IHC-P Image

IHC-P analysis of lung cancer tissue (left) and kidney cancer tissue (right) using GTX60424 HSP60 antibody [3G8].

6 / 6
Anti-HSP60 antibody [3G8] used in IHC (Paraffin sections) (IHC-P). GTX60424
Anti-HSP60 antibody [3G8] used in Immunocytochemistry/ Immunofluorescence (ICC/IF). GTX60424
Anti-HSP60 antibody [3G8] used in Flow cytometry (FCM). GTX60424
Anti-HSP60 antibody [3G8] used in Western Blot (WB). GTX60424
Anti-HSP60 antibody [3G8] used in ELISA (ELISA). GTX60424
Anti-HSP60 antibody [3G8] used in IHC (Paraffin sections) (IHC-P). GTX60424
  • Host
    Mouse
  • Clonality
    Monoclonal
  • Clone Name
    3G8
  • Isotype
    IgG1
  • Applications
    WB ICC/IF IHC-P FCM ELISA
  • Reactivity
    Human, Mouse, Rat, Monkey
See all HSP60 products