HUNK antibody [C3], C-term

Cat. No. GTX108203
Cat. No.  GTX108203
Anti-HUNK antibody [C3], C-term used in Western Blot (WB). GTX108203
GTX108203 WB Image

Sample (30 ug of whole cell lysate)
A: A431 (GTX27909)
7.5% SDS PAGE
GTX108203 diluted at 1:1000

1 / 3
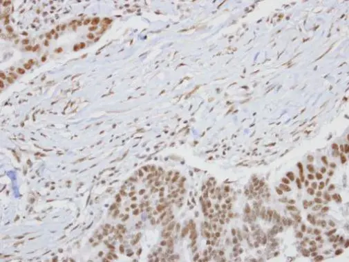
Anti-HUNK antibody [C3], C-term used in IHC (Paraffin sections) (IHC-P). GTX108203
GTX108203 IHC-P Image

Immunohistochemical analysis of paraffin-embedded OVCA xenograft, using HUNK(GTX108203) antibody at 1:100 dilution.
Antigen Retrieval: Trilogy™ (EDTA based, pH 8.0) buffer, 15min

2 / 3
Anti-HUNK antibody [C3], C-term used in Immunocytochemistry/ Immunofluorescence (ICC/IF). GTX108203
GTX108203 ICC/IF Image

Immunofluorescence analysis of paraformaldehyde-fixed A549, using HUNK(GTX108203) antibody at 1:200 dilution.

3 / 3
Anti-HUNK antibody [C3], C-term used in Western Blot (WB). GTX108203
Anti-HUNK antibody [C3], C-term used in IHC (Paraffin sections) (IHC-P). GTX108203
Anti-HUNK antibody [C3], C-term used in Immunocytochemistry/ Immunofluorescence (ICC/IF). GTX108203
  • Host
    Rabbit
  • Clonality
    Polyclonal
  • Isotype
    IgG
  • Applications
    WB ICC/IF IHC-P
  • Reactivity
    Human
See all HUNK products