HUS1 antibody

Cat. No. GTX113745
Cat. No.  GTX113745
Anti-HUS1 antibody used in Western Blot (WB). GTX113745
GTX113745 WB Image

HUS1 antibody detects HUS1 protein by Western blot analysis.
A. 30 μg C8D30 whole cell lysate/extract
12 % SDS-PAGE
HUS1 antibody (GTX113745) dilution: 1:1000

1 / 5
Anti-HUS1 antibody used in IHC (Paraffin sections) (IHC-P). GTX113745
GTX113745 IHC-P Image

HUS1 antibody detects HUS1 protein at cytosol and nucleus on mouse lymph node by immunohistochemical analysis.
Sample: Paraffin-embedded mouse lymph node.
HUS1 antibody (GTX113745) dilution: 1:500.

Antigen Retrieval: Trilogy™ (EDTA based, pH 8.0) buffer, 15min

2 / 5
Anti-HUS1 antibody used in Western Blot (WB). GTX113745
GTX113745 WB Image

Sample (30 ug of whole cell lysate)
A: 293T
12% SDS PAGE
GTX113745 diluted at 1:1000

3 / 5
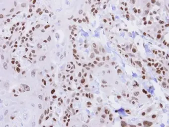
Anti-HUS1 antibody used in IHC (Paraffin sections) (IHC-P). GTX113745
GTX113745 IHC-P Image

Immunohistochemical analysis of paraffin-embedded CA922 xenograft , using HUS1(GTX113745) antibody at 1:500 dilution.
Antigen Retrieval: Trilogy™ (EDTA based, pH 8.0) buffer, 15min

4 / 5
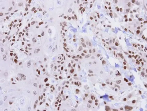
Anti-HUS1 antibody used in IHC (Paraffin sections) (IHC-P). GTX113745
GTX113745 IHC-P Image

HUS1 antibody detects HUS1 protein at cytosol and nucleus on rat fore brain by immunohistochemical analysis.
Sample: Paraffin-embedded rat fore brain.
HUS1 antibody (GTX113745) dilution: 1:500.

Antigen Retrieval: Trilogy™ (EDTA based, pH 8.0) buffer, 15min

5 / 5
Anti-HUS1 antibody used in Western Blot (WB). GTX113745
Anti-HUS1 antibody used in IHC (Paraffin sections) (IHC-P). GTX113745
Anti-HUS1 antibody used in Western Blot (WB). GTX113745
Anti-HUS1 antibody used in IHC (Paraffin sections) (IHC-P). GTX113745
Anti-HUS1 antibody used in IHC (Paraffin sections) (IHC-P). GTX113745
  • Host
    Rabbit
  • Clonality
    Polyclonal
  • Isotype
    IgG
  • Applications
    WB IHC-P
  • Reactivity
    Human, Mouse, Rat
See all HUS1 products