Heat Shock Protein 104 antibody [Antiserum 8-1]

Cat. No. GTX79159
Cat. No.  GTX79159
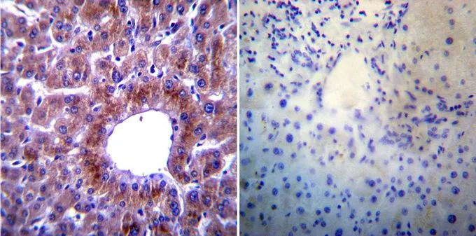
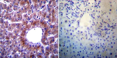
Anti-Heat Shock Protein 104 antibody [Antiserum 8-1] used in IHC (Paraffin sections) (IHC-P). GTX79159
GTX79159 IHC-P Image

IHC-P analysis of human liver tissue with (left) or without (right) Heat Shock Protein 104 antibody [Antiserum 8-1] at a dilution of 1:200. To expose target proteins, heat induced antigen retrieval was performed using 10mM sodium citrate (pH6.0) buffer, microwaved for 8-15 minutes.

1 / 3
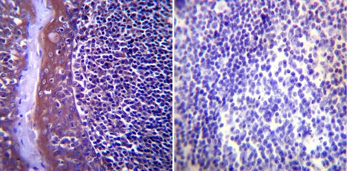
Anti-Heat Shock Protein 104 antibody [Antiserum 8-1] used in IHC (Paraffin sections) (IHC-P). GTX79159
GTX79159 IHC-P Image

IHC-P analysis of human tonsil tissue with (left) or without (right) Heat Shock Protein 104 antibody [Antiserum 8-1] at a dilution of 1:100. To expose target proteins, heat induced antigen retrieval was performed using 10mM sodium citrate (pH6.0) buffer, microwaved for 8-15 minutes.

2 / 3
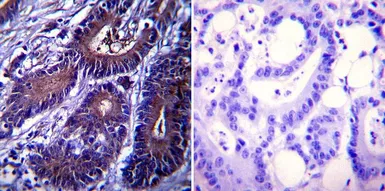
Anti-Heat Shock Protein 104 antibody [Antiserum 8-1] used in IHC (Paraffin sections) (IHC-P). GTX79159
GTX79159 IHC-P Image

IHC-P analysis of human colon carcinoma with (left) or without (right) Heat Shock Protein 104 antibody [Antiserum 8-1] at a dilution of 1:100. To expose target proteins, heat induced antigen retrieval was performed using 10mM sodium citrate (pH6.0) buffer, microwaved for 8-15 minutes.

3 / 3
Anti-Heat Shock Protein 104 antibody [Antiserum 8-1] used in IHC (Paraffin sections) (IHC-P). GTX79159
Anti-Heat Shock Protein 104 antibody [Antiserum 8-1] used in IHC (Paraffin sections) (IHC-P). GTX79159
Anti-Heat Shock Protein 104 antibody [Antiserum 8-1] used in IHC (Paraffin sections) (IHC-P). GTX79159
  • Host
    Rabbit
  • Clonality
    Polyclonal
  • Clone Name
    Antiserum 8-1
  • Isotype
    IgG
  • Applications
    WB IHC-P
  • Reactivity
    Human, Yeast
See all Heat Shock Protein 104 products