Her2 / ErbB2 antibody [ERBB2/2453]

Cat. No. GTX17894
Cat. No.  GTX17894
Anti-Her2 / ErbB2 antibody [ERBB2/2453] used in Protein Array (Protein Array). GTX17894
GTX17894 Protein Array Image

Analysis of Protein Array containing more than 19,000 full-length human proteins using HER-2 Mouse Monoclonal Antibody (ERBB2/2453). Z- and S- Score: The Z-score represents the strength of a signal that a monoclonal antibody produces when binding to a particular protein on the HuProtTM array. Z-scores are described in units of standard deviations (SD’s) above the mean value of all signals generated on that array. If targets on HuProtTM are arranged in descending order of the Z-score, the S-score is the difference (also in units of SD’s) between the Z-score. S-score therefore represents the relative target specificity of a Monoclonal Antibody to its intended target. A Monoclonal Antibody is considered to specific to its intended target if the Monoclonal Antibody has an S-score of at least 2.5. For example, if a Monoclonal Antibody binds to protein X with a Z-score of 43 and to protein Y with a Z-score of 14, then the S-score for the binding of that Monoclonal Antibody to protein X is equal to 29.

1 / 2
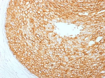
Anti-Her2 / ErbB2 antibody [ERBB2/2453] used in IHC (Paraffin sections) (IHC-P). GTX17894
GTX17894 IHC-P Image

IHC-P analysis of human breast carcinoma tissue using GTX17894 Her2 / ErbB2 antibody [ERBB2/2453].

2 / 2
Anti-Her2 / ErbB2 antibody [ERBB2/2453] used in Protein Array (Protein Array). GTX17894
Anti-Her2 / ErbB2 antibody [ERBB2/2453] used in IHC (Paraffin sections) (IHC-P). GTX17894
  • Host
    Mouse
  • Clonality
    Monoclonal
  • Clone Name
    ERBB2/2453
  • Isotype
    IgG2a
  • Applications
    IHC-P Protein Array
  • Reactivity
    Human
See all Her2 / ErbB2 products