Hexokinase 1 antibody [7A7]

Cat. No. GTX82795
Cat. No.  GTX82795
Anti-Hexokinase 1 antibody [7A7] used in Immunocytochemistry/ Immunofluorescence (ICC/IF). GTX82795
GTX82795 ICC/IF Image

ICC/IF analysis of NIH3T3 cells using GTX82795 Hexokinase 1 antibody [7A7].
Green : Hexokinase 1
Blue: DRAQ5 fluorescent DNA dye
Red: Actin filaments

1 / 3
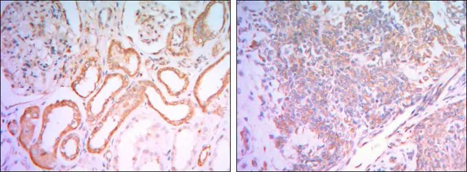
Anti-Hexokinase 1 antibody [7A7] used in IHC (Paraffin sections) (IHC-P). GTX82795
GTX82795 IHC-P Image

IHC-P analysis of human salivary gland tissue (left) and kidney tissue (right) using GTX82795 Hexokinase 1 antibody [7A7].

2 / 3
Anti-Hexokinase 1 antibody [7A7] used in Western Blot (WB). GTX82795
GTX82795 WB Image

WB analysis of Jurkat (1), HeLa (2), HepG2 (3), MCF-7 (4) and PC-12 (5) cell lysate using GTX82795 Hexokinase 1 antibody [7A7].

3 / 3
Anti-Hexokinase 1 antibody [7A7] used in Immunocytochemistry/ Immunofluorescence (ICC/IF). GTX82795
Anti-Hexokinase 1 antibody [7A7] used in IHC (Paraffin sections) (IHC-P). GTX82795
Anti-Hexokinase 1 antibody [7A7] used in Western Blot (WB). GTX82795
  • Host
    Mouse
  • Clonality
    Monoclonal
  • Clone Name
    7A7
  • Isotype
    IgG1
  • Applications
    WB ICC/IF IHC-P ELISA
  • Reactivity
    Human, Mouse, Rat
See all Hexokinase 1 products