Hexokinase II antibody

Cat. No. GTX111525
Cat. No.  GTX111525
Anti-Hexokinase II antibody used in Western Blot (WB). GTX111525
GTX111525 WB Image

Whole cell extract (30 μg) was separated by 7.5% SDS-PAGE, and the membrane was blotted with Hexokinase II antibody (GTX111525) diluted at 1:10000. The HRP-conjugated anti-rabbit IgG antibody (GTX213110-01) was used to detect the primary antibody.

1 / 14
Anti-Hexokinase II antibody used in Western Blot (WB). GTX111525
GTX111525 WB Image

Mouse tissue extract (50 μg) was separated by 7.5% SDS-PAGE, and the membrane was blotted with Hexokinase II antibody (GTX111525) diluted at 1:10000. The HRP-conjugated anti-rabbit IgG antibody (GTX213110-01) was used to detect the primary antibody.

2 / 14
Anti-Hexokinase II antibody used in Western Blot (WB). GTX111525
GTX111525 WB Image

Various whole cell extracts (30 μg) were separated by 7.5% SDS-PAGE, and the membrane was blotted with Hk2 antibody (GTX111525) diluted at 1:10000. The HRP-conjugated anti-rabbit IgG antibody (GTX213110-01) was used to detect the primary antibody.

3 / 14
Anti-Hexokinase II antibody used in Immunocytochemistry/ Immunofluorescence (ICC/IF). GTX111525
GTX111525 ICC/IF Image

Hexokinase II antibody detects Hexokinase II protein at mitochondria by immunofluorescent analysis.
Sample: HeLa cells were fixed in ice-cold MeOH for 5 min.
Green: Hexokinase II stained by Hexokinase II antibody (GTX111525) diluted at 1:2000.
Blue: Fluoroshield with DAPI (GTX30920).
Scale bar= 10 μm.

4 / 14
Anti-Hexokinase II antibody used in IHC (Paraffin sections) (IHC-P). GTX111525
GTX111525 IHC-P Image

Hexokinase II antibody detects Hexokinase II protein at cytoplasm by immunohistochemical analysis.
Sample: Paraffin-embedded rat kidney.
Hexokinase II stained by Hexokinase II antibody (GTX111525) diluted at 1:2000.
Antigen Retrieval: Citrate buffer, pH 6.0, 15 min

5 / 14
Anti-Hexokinase II antibody used in IHC (Paraffin sections) (IHC-P). GTX111525
GTX111525 IHC-P Image

Hexokinase II antibody detects Hexokinase II protein at cytoplasm in rat heart by immunohistochemical analysis.
Sample: Paraffin-embedded rat heart.
Hexokinase II antibody (GTX111525) diluted at 1:500.

Antigen Retrieval: Citrate buffer, pH 6.0, 15 min

6 / 14
Anti-Hexokinase II antibody used in IHC (Paraffin sections) (IHC-P). GTX111525
GTX111525 IHC-P Image

Hexokinase II antibody detects HK2 protein at cytosol on U87 xenograft by immunohistochemical analysis.
Sample: Paraffin-embedded U87 xenograft.
Hexokinase II antibody (GTX111525) dilution: 1:500.

Antigen Retrieval: Trilogy™ (EDTA based, pH 8.0) buffer, 15min

7 / 14
Anti-Hexokinase II antibody used in IHC (Paraffin sections) (IHC-P). GTX111525
GTX111525 IHC-P Image

Hexokinase II antibody detects Hexokinase II protein at cytoplasm by immunohistochemical analysis.
Sample: Paraffin-embedded mouse heart.
Hexokinase II stained by Hexokinase II antibody (GTX111525) diluted at 1:2000.
Antigen Retrieval: Citrate buffer, pH 6.0, 15 min

8 / 14
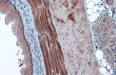
Anti-Hexokinase II antibody used in IHC (Paraffin sections) (IHC-P). GTX111525
GTX111525 IHC-P Image

Hexokinase II antibody detects Hexokinase II protein at cytoplasm by immunohistochemical analysis.
Sample: Paraffin-embedded rat muscle.
Hexokinase II stained by Hexokinase II antibody (GTX111525) diluted at 1:1000.
Antigen Retrieval: Citrate buffer, pH 6.0, 15 min

9 / 14
Anti-Hexokinase II antibody used in IHC (Paraffin sections) (IHC-P). GTX111525
GTX111525 IHC-P Image

Hexokinase II antibody detects Hexokinase II protein at cytoplasm by immunohistochemical analysis.
Sample: Paraffin-embedded rat colon.
Hexokinase II stained by Hexokinase II antibody (GTX111525) diluted at 1:2000.
Antigen Retrieval: Citrate buffer, pH 6.0, 15 min

10 / 14
Anti-Hexokinase II antibody used in IHC (Paraffin sections) (IHC-P). GTX111525
GTX111525 IHC-P Image

Hexokinase II antibody detects Hexokinase II protein at cytoplasm by immunohistochemical analysis.
Sample: Paraffin-embedded mouse muscle.
Hexokinase II stained by Hexokinase II antibody (GTX111525) diluted at 1:500.
Antigen Retrieval: Citrate buffer, pH 6.0, 15 min

11 / 14
Anti-Hexokinase II antibody used in IHC (Paraffin sections) (IHC-P). GTX111525
GTX111525 IHC-P Image

Hexokinase II antibody detects Hexokinase II protein at cytosol on mouse muscle by immunohistochemical analysis.
Sample: Paraffin-embedded mouse muscle.
Hexokinase II antibody (GTX111525) dilution: 1:500.

Antigen Retrieval: Trilogy™ (EDTA based, pH 8.0) buffer, 15min

12 / 14
Anti-Hexokinase II antibody used in IHC (Paraffin sections) (IHC-P). GTX111525
GTX111525 IHC-P Image

Hexokinase II antibody detects Hexokinase II protein at cytoplasm in rat stomach by immunohistochemical analysis.
Sample: Paraffin-embedded rat stomach.
Hexokinase II antibody (GTX111525) diluted at 1:500.

Antigen Retrieval: Citrate buffer, pH 6.0, 15 min

13 / 14
Anti-Hexokinase II antibody used in Western Blot (WB). GTX111525
GTX111525 WB Image

The data was published in the 2022 in Int J Mol Sci. PMID: 35328751

14 / 14
Anti-Hexokinase II antibody used in Western Blot (WB). GTX111525
Anti-Hexokinase II antibody used in Western Blot (WB). GTX111525
Anti-Hexokinase II antibody used in Western Blot (WB). GTX111525
Anti-Hexokinase II antibody used in Immunocytochemistry/ Immunofluorescence (ICC/IF). GTX111525
Anti-Hexokinase II antibody used in IHC (Paraffin sections) (IHC-P). GTX111525
Anti-Hexokinase II antibody used in IHC (Paraffin sections) (IHC-P). GTX111525
Anti-Hexokinase II antibody used in IHC (Paraffin sections) (IHC-P). GTX111525
Anti-Hexokinase II antibody used in IHC (Paraffin sections) (IHC-P). GTX111525
Anti-Hexokinase II antibody used in IHC (Paraffin sections) (IHC-P). GTX111525
Anti-Hexokinase II antibody used in IHC (Paraffin sections) (IHC-P). GTX111525
Anti-Hexokinase II antibody used in IHC (Paraffin sections) (IHC-P). GTX111525
Anti-Hexokinase II antibody used in IHC (Paraffin sections) (IHC-P). GTX111525
Anti-Hexokinase II antibody used in IHC (Paraffin sections) (IHC-P). GTX111525
Anti-Hexokinase II antibody used in Western Blot (WB). GTX111525
  • Host
    Rabbit
  • Clonality
    Polyclonal
  • Isotype
    IgG
  • Applications
    WB ICC/IF IHC-P
  • Reactivity
    Human, Mouse, Rat
See all Hexokinase II products