Hexokinase II antibody

Cat. No. GTX55657
Cat. No.  GTX55657
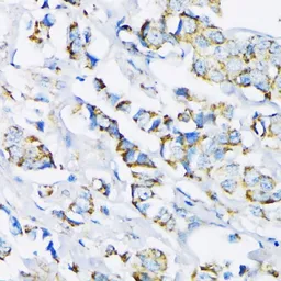
Anti-Hexokinase II antibody used in IHC (Paraffin sections) (IHC-P). GTX55657
GTX55657 IHC-P Image

IHC-P analysis of human breast cancer tissue using GTX55657 Hexokinase II antibody.
Dilution : 1:200

1 / 6
Anti-Hexokinase II antibody used in Western Blot (WB). GTX55657
GTX55657 WB Image

WB analysis of normal (control) and knockout (KO) HeLa cell lysate using GTX55657 Hexokinase II antibody.
Dilution : 1:1000
Loading : 25μg per lane

2 / 6
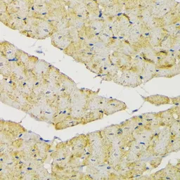
Anti-Hexokinase II antibody used in IHC (Paraffin sections) (IHC-P). GTX55657
GTX55657 IHC-P Image

IHC-P analysis of rat heart tissue using GTX55657 Hexokinase II antibody.
Dilution : 1:200

3 / 6
Anti-Hexokinase II antibody used in Western Blot (WB). GTX55657
GTX55657 WB Image

WB analysis of various sample lysates using GTX55657 Hexokinase II antibody.
Dilution : 1:1000
Loading : 25μg per lane

4 / 6
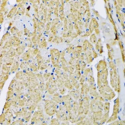
Anti-Hexokinase II antibody used in IHC (Paraffin sections) (IHC-P). GTX55657
GTX55657 IHC-P Image

IHC-P analysis of mouse heart tissue using GTX55657 Hexokinase II antibody.
Dilution : 1:200

5 / 6
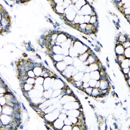
Anti-Hexokinase II antibody used in IHC (Paraffin sections) (IHC-P). GTX55657
GTX55657 IHC-P Image

IHC-P analysis of human colon tissue using GTX55657 Hexokinase II antibody.
Dilution : 1:200

6 / 6
Anti-Hexokinase II antibody used in IHC (Paraffin sections) (IHC-P). GTX55657
Anti-Hexokinase II antibody used in Western Blot (WB). GTX55657
Anti-Hexokinase II antibody used in IHC (Paraffin sections) (IHC-P). GTX55657
Anti-Hexokinase II antibody used in Western Blot (WB). GTX55657
Anti-Hexokinase II antibody used in IHC (Paraffin sections) (IHC-P). GTX55657
Anti-Hexokinase II antibody used in IHC (Paraffin sections) (IHC-P). GTX55657
  • Host
    Rabbit
  • Clonality
    Polyclonal
  • Isotype
    IgG
  • Applications
    WB IHC-P
  • Reactivity
    Human, Mouse, Rat
See all Hexokinase II products