Histone H1.2 antibody

Cat. No. GTX122561
Cat. No.  GTX122561
Anti-Histone H1.2 antibody used in Western Blot (WB). GTX122561
GTX122561 WB Image

Various whole cell extracts (30 μg) were separated by 12% SDS-PAGE, and the membrane was blotted with Histone H1.2 antibody (GTX122561) diluted at 1:10000. The HRP-conjugated anti-rabbit IgG antibody (GTX213110-01) was used to detect the primary antibody. Corresponding RNA expression data are based on Human Protein Atlas program.

1 / 11
Anti-Histone H1.2 antibody used in Western Blot (WB). GTX122561
GTX122561 WB Image

HeLa whole cell and nuclear extracts (30 μg) were separated by 12% SDS-PAGE, and the membrane was blotted with Histone H1.2 antibody (GTX122561) diluted at 1:10000. The HRP-conjugated anti-rabbit IgG antibody (GTX213110-01) was used to detect the primary antibody.

2 / 11
Anti-Histone H1.2 antibody used in Immunocytochemistry/ Immunofluorescence (ICC/IF). GTX122561
GTX122561 ICC/IF Image

Confocal immunofluorescence analysis (Olympus FV10i) of paraformaldehyde-fixed HeLa, using Histone H1.2(GTX122561) antibody (Green) at 1:500 dilution. Alpha-tubulin filaments were labeled with GTX11304 (Red) at 1:2000.

3 / 11
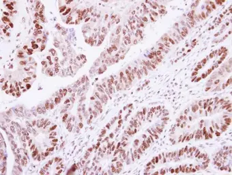
Anti-Histone H1.2 antibody used in IHC (Paraffin sections) (IHC-P). GTX122561
GTX122561 IHC-P Image

Immunohistochemical analysis of paraffin-embedded human colon carcinoma, using Histone H1.2(GTX122561) antibody at 1:250 dilution.
Antigen Retrieval: Trilogy™ (EDTA based, pH 8.0) buffer, 15min

4 / 11
Anti-Histone H1.2 antibody used in Western Blot (WB). GTX122561
GTX122561 WB Image

The data was published in the journal Cell Res in 2018. PMID: 29844578

5 / 11
Anti-Histone H1.2 antibody used in Western Blot (WB). GTX122561
GTX122561 WB Image

The data was published in the journal Cell Res in 2018. PMID: 29844578

6 / 11
Anti-Histone H1.2 antibody used in Western Blot (WB). GTX122561
GTX122561 WB Image

The data was published in the journal Front Oncol in 2020.PMID: 32435614

7 / 11
Anti-Histone H1.2 antibody used in Western Blot (WB). GTX122561
GTX122561 WB Image

The data was published in the journal Front Oncol in 2020.PMID: 32435614

8 / 11
Anti-Histone H1.2 antibody used in Western Blot (WB). GTX122561
GTX122561 WB Image

The data was published in the journal Front Oncol in 2020.PMID: 32435614

9 / 11
Anti-Histone H1.2 antibody used in Western Blot (WB). GTX122561
GTX122561 WB Image

The data was published in the journal Front Oncol in 2020.PMID: 32435614

10 / 11
Anti-Histone H1.2 antibody used in Western Blot (WB). GTX122561
GTX122561 WB Image

The data was published in the journal Front Oncol in 2020.PMID: 32435614

11 / 11
Anti-Histone H1.2 antibody used in Western Blot (WB). GTX122561
Anti-Histone H1.2 antibody used in Western Blot (WB). GTX122561
Anti-Histone H1.2 antibody used in Immunocytochemistry/ Immunofluorescence (ICC/IF). GTX122561
Anti-Histone H1.2 antibody used in IHC (Paraffin sections) (IHC-P). GTX122561
Anti-Histone H1.2 antibody used in Western Blot (WB). GTX122561
Anti-Histone H1.2 antibody used in Western Blot (WB). GTX122561
Anti-Histone H1.2 antibody used in Western Blot (WB). GTX122561
Anti-Histone H1.2 antibody used in Western Blot (WB). GTX122561
Anti-Histone H1.2 antibody used in Western Blot (WB). GTX122561
Anti-Histone H1.2 antibody used in Western Blot (WB). GTX122561
Anti-Histone H1.2 antibody used in Western Blot (WB). GTX122561
  • Host
    Rabbit
  • Clonality
    Polyclonal
  • Isotype
    IgG
  • Applications
    WB ICC/IF IHC-P
  • Reactivity
    Human
See all Histone H1.2 products