Histone H1.4 antibody [N1N2], N-term

Cat. No. GTX121670
Cat. No.  GTX121670
Anti-Histone H1.4 antibody [N1N2], N-term used in Western Blot (WB). GTX121670
GTX121670 WB Image

Sample (20 ug of cell lysate )
A: HeLa nucleus
12% SDS PAGE
GTX121670 diluted at 1:1000

1 / 2
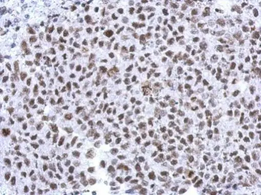
Anti-Histone H1.4 antibody [N1N2], N-term used in IHC (Paraffin sections) (IHC-P). GTX121670
GTX121670 IHC-P Image

Immunohistochemical analysis of paraffin-embedded Hela xenograft, using Histone H1.4(GTX121670) antibody at 1:500 dilution.
Antigen Retrieval: Trilogy™ (EDTA based, pH 8.0) buffer, 15min

2 / 2
Anti-Histone H1.4 antibody [N1N2], N-term used in Western Blot (WB). GTX121670
Anti-Histone H1.4 antibody [N1N2], N-term used in IHC (Paraffin sections) (IHC-P). GTX121670
  • Host
    Rabbit
  • Clonality
    Polyclonal
  • Isotype
    IgG
  • Applications
    WB IHC-P
  • Reactivity
    Human
See all Histone H1 products