Histone H2A.X antibody [HL3515]

Cat. No. GTX641412
Cat. No.  GTX641412
Anti-Histone H2A.X antibody [HL3515] used in IHC (Paraffin sections) (IHC-P). GTX641412
GTX641412 IHC-P Image

Histone H2A.X antibody [HL3515] detects Histone H2A.X protein by immunohistochemical analysis.
Sample: Paraffin-embedded rat hippocampus.
Histone H2A.X stained by Histone H2A.X antibody [HL3515] (GTX641412) diluted at 1:100.
Antigen Retrieval: Citrate buffer, pH 6.0, 15 min

1 / 7
Anti-Histone H2A.X antibody [HL3515] used in IHC (Paraffin sections) (IHC-P). GTX641412
GTX641412 IHC-P Image

Histone H2A.X antibody [HL3515] detects Histone H2A.X protein by immunohistochemical analysis.
Sample: Paraffin-embedded mouse salivary gland.
Histone H2A.X stained by Histone H2A.X antibody [HL3515] (GTX641412) diluted at 1:100.
Antigen Retrieval: Citrate buffer, pH 6.0, 15 min

2 / 7
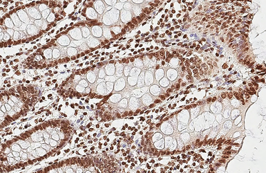
Anti-Histone H2A.X antibody [HL3515] used in IHC (Paraffin sections) (IHC-P). GTX641412
GTX641412 IHC-P Image

Histone H2A.X antibody [HL3515] detects Histone H2A.X protein by immunohistochemical analysis.
Sample: Paraffin-embedded human colon cancer.
Histone H2A.X stained by Histone H2A.X antibody [HL3515] (GTX641412) diluted at 1:100.
Antigen Retrieval: Citrate buffer, pH 6.0, 15 min

3 / 7
Anti-Histone H2A.X antibody [HL3515] used in Immunocytochemistry/ Immunofluorescence (ICC/IF). GTX641412
GTX641412 ICC/IF Image

Histone H2A.X antibody [HL3515] detects Histone H2A.X protein by immunofluorescent analysis.
Sample: HeLa cells were fixed in 4% paraformaldehyde at RT for 15 min.
Green: Histone H2A.X stained by Histone H2A.X antibody [HL3515] (GTX641412) diluted at 1:500.
Red: alpha Tubulin, a cytoskeleton marker, stained by alpha Tubulin antibody [GT114] (GTX628802) diluted at 1:1000.

4 / 7
Anti-Histone H2A.X antibody [HL3515] used in Western Blot (WB). GTX641412
GTX641412 WB Image

Various whole cell extracts (30 μg) were separated by 15% SDS-PAGE, and the membrane was blotted with Histone H2A.X antibody [HL3515] (GTX641412) diluted at 1:1000. The HRP-conjugated anti-rabbit IgG antibody (GTX213110-01) was used to detect the primary antibody. Corresponding RNA expression data for the same cell lines are based on Human Protein Atlas program.

5 / 7
Anti-Histone H2A.X antibody [HL3515] used in Western Blot (WB). GTX641412
GTX641412 WB Image

Various whole cell extracts (30 μg) were separated by 15% SDS-PAGE, and the membrane was blotted with Histone H2A.X antibody [HL3515] (GTX641412) diluted at 1:1000. The HRP-conjugated anti-rabbit IgG antibody (GTX213110-01) was used to detect the primary antibody.

6 / 7
Anti-Histone H2A.X antibody [HL3515] used in Western Blot (WB). GTX641412
GTX641412 WB Image

Whole cell extract (30 μg) was separated by 15% SDS-PAGE, and the membrane was blotted with Histone H2A.X antibody [HL3515] (GTX641412) diluted at 1:1000. The HRP-conjugated anti-rabbit IgG antibody (GTX213110-01) was used to detect the primary antibody.

7 / 7
Anti-Histone H2A.X antibody [HL3515] used in IHC (Paraffin sections) (IHC-P). GTX641412
Anti-Histone H2A.X antibody [HL3515] used in IHC (Paraffin sections) (IHC-P). GTX641412
Anti-Histone H2A.X antibody [HL3515] used in IHC (Paraffin sections) (IHC-P). GTX641412
Anti-Histone H2A.X antibody [HL3515] used in Immunocytochemistry/ Immunofluorescence (ICC/IF). GTX641412
Anti-Histone H2A.X antibody [HL3515] used in Western Blot (WB). GTX641412
Anti-Histone H2A.X antibody [HL3515] used in Western Blot (WB). GTX641412
Anti-Histone H2A.X antibody [HL3515] used in Western Blot (WB). GTX641412
  • Host
    Rabbit
  • Clonality
    Monoclonal
  • Clone Name
    HL3515
  • Isotype
    IgG
  • Applications
    WB ICC/IF IHC-P
  • Reactivity
    Human, Mouse, Rat
See all Histone H2A.X products