Histone H2A.XS139ph (phospho Ser139) antibody [3F2]

Cat. No. GTX80694
Cat. No.  GTX80694
Anti-Histone H2A.XS139ph (phospho Ser139) antibody [3F2] used in Immunocytochemistry/ Immunofluorescence (ICC/IF). GTX80694
GTX80694 ICC/IF Image

ICC/IF analysis of A549 cells treated with vehicle (control; 0.1% DMSO in media) or with 50 μM etoposide for 1 hour using GTX80694 Histone H2A.XS139ph (phospho Ser139) antibody [3F2].
Red : Primary antibody
Blue : Nuclei

1 / 5
Anti-Histone H2A.XS139ph (phospho Ser139) antibody [3F2] used in Immunocytochemistry/ Immunofluorescence (ICC/IF). GTX80694
GTX80694 ICC/IF Image

ICC/IF analysis of gamma irradiated HeLa cells using GTX80694 Histone H2A.XS139ph (phospho Ser139) antibody [3F2].

2 / 5
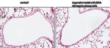
Anti-Histone H2A.XS139ph (phospho Ser139) antibody [3F2] used in IHC (Paraffin sections) (IHC-P). GTX80694
GTX80694 IHC-P Image

IHC-P analysis of postnatal mouse (PN19) lung sections using GTX80694 Histone H2A.XS139ph (phospho Ser139) antibody [3F2]. Increased staining intensity was observed in a genetic mouse model with DNA damage in airway cells.
Antigen retrieval : heat induced epitope retrieval (HIER) method with sodium citrate buffer (pH 6.0)
Fixation : 4% Paraformaldehyde
Dilution : 1:400

3 / 5
Anti-Histone H2A.XS139ph (phospho Ser139) antibody [3F2] used in Western Blot (WB). GTX80694
GTX80694 WB Image

WB analysis of Jurkat cell untreated (Lane 1) and Jurkat cell stimulated with staurosporine (Lane 2) using GTX80694 Histone H2A.XS139ph (phospho Ser139) antibody [3F2].
Dilution : 1 μg/ml

4 / 5
Anti-Histone H2A.XS139ph (phospho Ser139) antibody [3F2] used in Immunocytochemistry/ Immunofluorescence (ICC/IF). GTX80694
GTX80694 ICC/IF Image

ICC/IF analysis of cells using GTX80694 Histone H2A.XS139ph (phospho Ser139) antibody [3F2].

5 / 5
Anti-Histone H2A.XS139ph (phospho Ser139) antibody [3F2] used in Immunocytochemistry/ Immunofluorescence (ICC/IF). GTX80694
Anti-Histone H2A.XS139ph (phospho Ser139) antibody [3F2] used in Immunocytochemistry/ Immunofluorescence (ICC/IF). GTX80694
Anti-Histone H2A.XS139ph (phospho Ser139) antibody [3F2] used in IHC (Paraffin sections) (IHC-P). GTX80694
Anti-Histone H2A.XS139ph (phospho Ser139) antibody [3F2] used in Western Blot (WB). GTX80694
Anti-Histone H2A.XS139ph (phospho Ser139) antibody [3F2] used in Immunocytochemistry/ Immunofluorescence (ICC/IF). GTX80694
  • Host
    Mouse
  • Clonality
    Monoclonal
  • Clone Name
    3F2
  • Isotype
    IgG1
  • Applications
    WB ICC/IF IHC-P FCM ELISA
  • Reactivity
    Human, Mouse, Bovine
See all Histone H2A.X products