Histone H2BK12ac (acetyl Lys12) antibody

Cat. No. GTX88011
Cat. No.  GTX88011
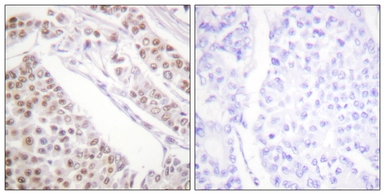
Anti-Histone H2BK12ac (acetyl Lys12) antibody used in Immunocytochemistry/ Immunofluorescence (ICC/IF). GTX88011
GTX88011 ICC/IF Image

ICC/IF analysis of HeLa cells using GTX88011 Histone H2BK12ac (acetyl Lys12) antibody. The picture on the right is blocked with the synthesized peptide.

1 / 3
Anti-Histone H2BK12ac (acetyl Lys12) antibody used in Western Blot (WB). GTX88011
GTX88011 WB Image

WB analysis of COS7 cells treated with TSA 400nM (24h) lysate using GTX88011 Histone H2BK12ac (acetyl Lys12) antibody. The lane on the right is blocked with the synthesized peptide.

2 / 3
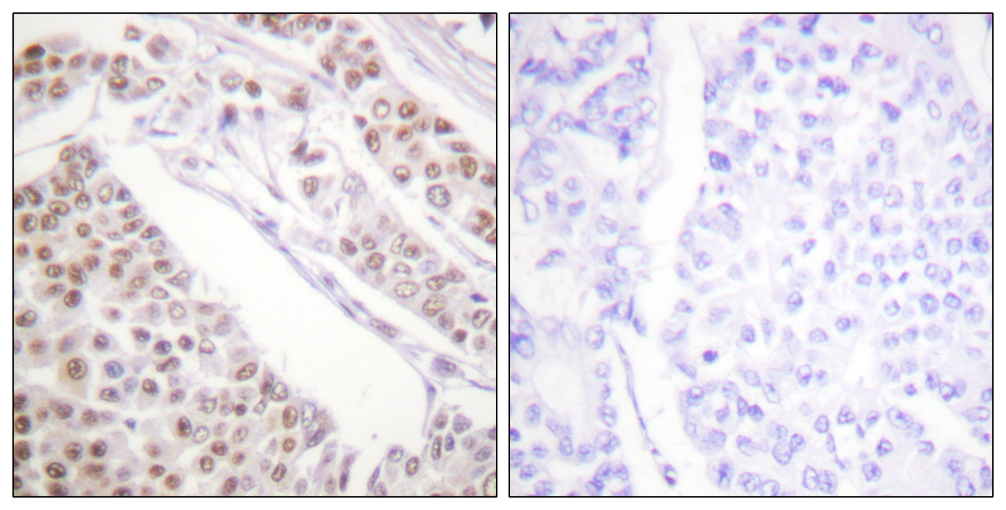
Anti-Histone H2BK12ac (acetyl Lys12) antibody used in IHC (Paraffin sections) (IHC-P). GTX88011
GTX88011 IHC-P Image

IHC-P analysis of human lung carcinoma tissue using GTX88011 Histone H2BK12ac (acetyl Lys12) antibody. The picture on the right is blocked with the synthesized peptide.

3 / 3
Anti-Histone H2BK12ac (acetyl Lys12) antibody used in Immunocytochemistry/ Immunofluorescence (ICC/IF). GTX88011
Anti-Histone H2BK12ac (acetyl Lys12) antibody used in Western Blot (WB). GTX88011
Anti-Histone H2BK12ac (acetyl Lys12) antibody used in IHC (Paraffin sections) (IHC-P). GTX88011
  • Host
    Rabbit
  • Clonality
    Polyclonal
  • Isotype
    IgG
  • Applications
    WB ICC/IF IHC-P
  • Reactivity
    Human, Monkey
See all Histone H2B products