Histone H3K18ac (Acetyl Lys18) antibody

Cat. No. GTX128943
Cat. No.  GTX128943
Anti-Histone H3K18ac (Acetyl Lys18) antibody used in Western Blot (WB). GTX128943
GTX128943 WB Image

Untreated (–) and treated (+) HeLa whole cell extracts (30 μg) were separated by 15% SDS-PAGE, and the membrane was blotted with Histone H3K18ac (Acetyl Lys18) antibody (GTX128943) diluted at 1:5000. The HRP-conjugated anti-rabbit IgG antibody (GTX213110-01) was used to detect the primary antibody.

1 / 16
Anti-Histone H3K18ac (Acetyl Lys18) antibody used in IHC (Paraffin sections) (IHC-P). GTX128943
GTX128943 IHC-P Image

Histone H3K18ac (acetyl Lys18) antibody detects Histone H3K18ac (acetyl Lys18) protein at nucleus on mouse prostate by immunohistochemical analysis.
Sample: Paraffin-embedded mouse prostate.
Histone H3K18ac (acetyl Lys18) antibody (GTX128943) dilution: 1:500.

Antigen Retrieval: Trilogy™ (EDTA based, pH 8.0) buffer, 15min

2 / 16
Anti-Histone H3K18ac (Acetyl Lys18) antibody used in Immunocytochemistry/ Immunofluorescence (ICC/IF). GTX128943
GTX128943 ICC/IF Image

Histone H3K18ac (Acetyl Lys18) antibody detects Histone H3K18ac (Acetyl Lys18) protein at chromosome by immunofluorescent analysis.
Sample: HeLa cells were fixed in 4% paraformaldehyde at RT for 15 min.
Green: Histone H3K18ac (Acetyl Lys18) stained by Histone H3K18ac (Acetyl Lys18) antibody (GTX128943) diluted at 1:500.
Red: alpha Tubulin, a cytoskeleton marker, stained by alpha Tubulin antibody [GT114] (GTX628802) diluted at 1:1000.
Blue: Fluoroshield with DAPI (GTX30920).

3 / 16
Anti-Histone H3K18ac (Acetyl Lys18) antibody used in IHC (Paraffin sections) (IHC-P). GTX128943
GTX128943 IHC-P Image

Histone H3K18ac (acetyl Lys18) antibody detects Histone H3K18ac (acetyl Lys18) protein at nucleus on rat fore brain by immunohistochemical analysis.
Sample: Paraffin-embedded rat fore brain.
Histone H3K18ac (acetyl Lys18) antibody (GTX128943) dilution: 1:500.

Antigen Retrieval: Trilogy™ (EDTA based, pH 8.0) buffer, 15min

4 / 16
Anti-Histone H3K18ac (Acetyl Lys18) antibody used in Immunocytochemistry/ Immunofluorescence (ICC/IF). GTX128943
GTX128943 ICC/IF Image

Histone H3K18ac (Acetyl Lys18) antibody detects Histone H3K18ac (Acetyl Lys18) protein at nucleus by immunofluorescent analysis.
Sample: HeLa cells were fixed in 4% paraformaldehyde at RT for 15 min.
Green: Histone H3K18ac (Acetyl Lys18) stained by Histone H3K18ac (Acetyl Lys18) antibody (GTX128943) diluted at 1:500.
Red: alpha Tubulin, a cytoskeleton marker, stained by alpha Tubulin antibody [GT114] (GTX628802) diluted at 1:1000.
Scale bar= 10μm.

5 / 16
Anti-Histone H3K18ac (Acetyl Lys18) antibody used in Immunocytochemistry/ Immunofluorescence (ICC/IF). GTX128943
GTX128943 ICC/IF Image

Histone H3 (acetyl Lys18) antibody detects Histone H3 (acetyl Lys18) protein at nucleus by immunofluorescent analysis.
Sample: HeLa cells were fixed in 4% paraformaldehyde at RT for 15 min.
Green: Histone H3 (acetyl Lys18) protein stained by Histone H3 (acetyl Lys18) antibody (GTX128943) diluted at 1:500.
Red: alpha Tubulin antibody [GT114], a cytoskeleton marker, stained by GTX628802 diluted at 1:500.
Blue: Hoechst 33342 staining.

6 / 16
Anti-Histone H3K18ac (Acetyl Lys18) antibody used in Immunocytochemistry/ Immunofluorescence (ICC/IF). GTX128943
GTX128943 ICC/IF Image

Histone H3K18ac (Acetyl Lys18) antibody detects Histone H3K18ac (Acetyl Lys18) protein at nucleus by immunofluorescent analysis.
Sample: HeLa cells were fixed in 4% paraformaldehyde at RT for 15 min.
Green: Histone H3K18ac (Acetyl Lys18) stained by Histone H3K18ac (Acetyl Lys18) antibody (GTX128943) diluted at 1:500.
Red: alpha Tubulin, a cytoskeleton marker, stained by alpha Tubulin antibody [GT114] (GTX628802) diluted at 1:1000.
Scale bar= 10μm.

7 / 16
Anti-Histone H3K18ac (Acetyl Lys18) antibody used in IHC (Paraffin sections) (IHC-P). GTX128943
GTX128943 IHC-P Image

Histone H3K18ac (Acetyl Lys18) antibody detects Histone H3K18ac (Acetyl Lys18) protein at nucleus by immunohistochemical analysis.
Sample: Paraffin-embedded mouse colon.
Histone H3K18ac (Acetyl Lys18) stained by Histone H3K18ac (Acetyl Lys18) antibody (GTX128943) diluted at 1:500.
Antigen Retrieval: Citrate buffer, pH 6.0, 15 min

8 / 16
Anti-Histone H3K18ac (Acetyl Lys18) antibody used in Dot blot (Dot). GTX128943
GTX128943 Dot Image

Dotblot analysis of anti-Histone H3 (acetyl Lys18) antibody with peptide samples.
Varied amount of peptide samples were spotted onto positively charged nylon membrane and blotted with Histone H3 (acetyl Lys18) antibody (GTX128943) 1:5000 dilution.
A: Peptide samples of H3K18 un
B: Peptide samples of H3K18ac
C: Peptide samples of H3K9un
D: Peptide samples of H3K9ac
E: Peptide samples of H3K14un
F: Peptide samples of H3K14ac
G: Peptide samples of H3K27un
H: Peptide samples of H3K27ac

9 / 16
Anti-Histone H3K18ac (Acetyl Lys18) antibody used in Immunocytochemistry/ Immunofluorescence (ICC/IF). GTX128943
GTX128943 ICC/IF Image

Histone H3K18ac (Acetyl Lys18) antibody detects Histone H3K18ac (Acetyl Lys18) protein at chromosome by immunofluorescent analysis.
Sample: HeLa cells were fixed in 4% paraformaldehyde at RT for 15 min.
Green: Histone H3K18ac (Acetyl Lys18) stained by Histone H3K18ac (Acetyl Lys18) antibody (GTX128943) diluted at 1:500.
Red: alpha Tubulin, a cytoskeleton marker, stained by alpha Tubulin antibody [GT114] (GTX628802) diluted at 1:1000.
Blue: Fluoroshield with DAPI (GTX30920).

10 / 16
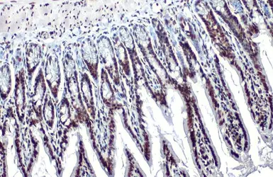
Anti-Histone H3K18ac (Acetyl Lys18) antibody used in IHC (Paraffin sections) (IHC-P). GTX128943
GTX128943 IHC-P Image

Histone H3K18ac (Acetyl Lys18) antibody detects Histone H3K18ac protein at nucleus by immunohistochemical analysis.
Sample: Paraffin-embedded mouse intestine.
Histone H3K18ac stained by Histone H3K18ac (Acetyl Lys18) antibody (GTX128943) diluted at 1:500.
Antigen Retrieval: Citrate buffer, pH 6.0, 15 min

11 / 16
Anti-Histone H3K18ac (Acetyl Lys18) antibody used in IHC (Paraffin sections) (IHC-P). GTX128943
GTX128943 IHC-P Image

Histone H3K18ac (Acetyl Lys18) antibody detects Histone H3K18ac (Acetyl Lys18) protein at nucleus by immunohistochemical analysis.
Sample: Paraffin-embedded mouse colon.
Histone H3K18ac (Acetyl Lys18) stained by Histone H3K18ac (Acetyl Lys18) antibody (GTX128943) diluted at 1:500.
Antigen Retrieval: Citrate buffer, pH 6.0, 15 min

12 / 16
Anti-Histone H3K18ac (Acetyl Lys18) antibody used in Immunoprecipitation (IP). GTX128943
GTX128943 IP Image

Histone H3 (acetyl Lys18) antibody immunoprecipitates Histone H3 (acetyl Lys18) protein in IP experiments. IP Sample: HeLa whole cell lysate/extract A : 30 μg whole cell lysate/extract of Histone H3 (acetyl Lys18) protein expressing HeLa cells (0.4uM TSA treatment for 18hr) B : Control with 2.5 μg of pre-immune rabbit IgG C : Immunoprecipitation of Histone H3 (acetyl Lys18) protein by 2.5 μg of Histone H3 (acetyl Lys18) antibody (GTX128943) 12% SDS-PAGE The immunoprecipitated Histone H3 protein (acetyl Lys18) was detected by Histone H3 (acetyl Lys18) antibody (GTX128943) diluted at 1 : 5000. EasyBlot anti-rabbit IgG (HRP) (GTX221666-01) was used as a secondary reagent.

13 / 16
Anti-Histone H3K18ac (Acetyl Lys18) antibody used in ChIP assay (ChIP assay). GTX128943
GTX128943 ChIP assay Image

Cross-linked ChIP was performed with HeLa chromatin extract treated with Trichostatin A (0.4 μM for 18 h) and 5 μg of either control rabbit IgG or anti-Histone H3K18ac (acetyl Lys18) antibody. The precipitated DNA was detected by PCR with primer set targeting to GAPDH or β-globin promoter.

14 / 16
Anti-Histone H3K18ac (Acetyl Lys18) antibody used in IHC (Paraffin sections) (IHC-P). GTX128943
GTX128943 IHC-P Image

Histone H3K18ac (Acetyl Lys18) antibody detects Histone H3K18ac protein at nucleus by immunohistochemical analysis.
Sample: Paraffin-embedded mouse stomach.
Histone H3K18ac stained by Histone H3K18ac (Acetyl Lys18) antibody (GTX128943) diluted at 1:500.
Antigen Retrieval: Citrate buffer, pH 6.0, 15 min

15 / 16
Anti-Histone H3K18ac (Acetyl Lys18) antibody used in IHC (Paraffin sections) (IHC-P). GTX128943
GTX128943 IHC-P Image

Histone H3K18ac (acetyl Lys18) antibody detects Histone H3K18ac (acetyl Lys18) protein at nucleus on mouse prostate by immunohistochemical analysis.
Sample: Paraffin-embedded mouse prostate.
Histone H3K18ac (acetyl Lys18) antibody (GTX128943) dilution: 1:500.

Antigen Retrieval: Trilogy™ (EDTA based, pH 8.0) buffer, 15min

16 / 16
Anti-Histone H3K18ac (Acetyl Lys18) antibody used in Western Blot (WB). GTX128943
Anti-Histone H3K18ac (Acetyl Lys18) antibody used in IHC (Paraffin sections) (IHC-P). GTX128943
Anti-Histone H3K18ac (Acetyl Lys18) antibody used in Immunocytochemistry/ Immunofluorescence (ICC/IF). GTX128943
Anti-Histone H3K18ac (Acetyl Lys18) antibody used in IHC (Paraffin sections) (IHC-P). GTX128943
Anti-Histone H3K18ac (Acetyl Lys18) antibody used in Immunocytochemistry/ Immunofluorescence (ICC/IF). GTX128943
Anti-Histone H3K18ac (Acetyl Lys18) antibody used in Immunocytochemistry/ Immunofluorescence (ICC/IF). GTX128943
Anti-Histone H3K18ac (Acetyl Lys18) antibody used in Immunocytochemistry/ Immunofluorescence (ICC/IF). GTX128943
Anti-Histone H3K18ac (Acetyl Lys18) antibody used in IHC (Paraffin sections) (IHC-P). GTX128943
Anti-Histone H3K18ac (Acetyl Lys18) antibody used in Dot blot (Dot). GTX128943
Anti-Histone H3K18ac (Acetyl Lys18) antibody used in Immunocytochemistry/ Immunofluorescence (ICC/IF). GTX128943
Anti-Histone H3K18ac (Acetyl Lys18) antibody used in IHC (Paraffin sections) (IHC-P). GTX128943
Anti-Histone H3K18ac (Acetyl Lys18) antibody used in IHC (Paraffin sections) (IHC-P). GTX128943
Anti-Histone H3K18ac (Acetyl Lys18) antibody used in Immunoprecipitation (IP). GTX128943
Anti-Histone H3K18ac (Acetyl Lys18) antibody used in ChIP assay (ChIP assay). GTX128943
Anti-Histone H3K18ac (Acetyl Lys18) antibody used in IHC (Paraffin sections) (IHC-P). GTX128943
Anti-Histone H3K18ac (Acetyl Lys18) antibody used in IHC (Paraffin sections) (IHC-P). GTX128943
  • Host
    Rabbit
  • Clonality
    Polyclonal
  • Isotype
    IgG
  • Applications
    WB ICC/IF IHC-P IP Dot ChIP assay
  • Reactivity
    Human, Mouse, Rat
See all Histone H3 products