Histone H3K9K14K23K27ac (Acetyl Lys9/Lys14/Lys23/Lys27) antibody

Cat. No. GTX02535
Cat. No.  GTX02535
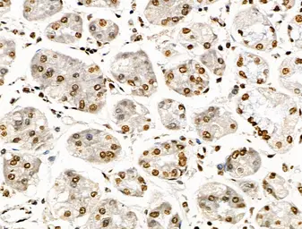
Anti-Histone H3K9K14K23K27ac (Acetyl Lys9/Lys14/Lys23/Lys27) antibody used in IHC (Paraffin sections) (IHC-P). GTX02535
GTX02535 IHC-P Image

IHC-P analysis of human pancreatic cancer and adjacent nomal tissues using GTX02535 Histone H3K9K14K23K27ac (Acetyl Lys9/Lys14/Lys23/Lys27) antibody.
Antigen retrieval : Heat mediated antigen retrieval step in citrate buffer was performed.
Dilution : 1:100

1 / 24
Anti-Histone H3K9K14K23K27ac (Acetyl Lys9/Lys14/Lys23/Lys27) antibody used in IHC (Paraffin sections) (IHC-P). GTX02535
GTX02535 IHC-P Image

IHC-P analysis of rat heart tissue using GTX02535 Histone H3K9K14K23K27ac (Acetyl Lys9/Lys14/Lys23/Lys27) antibody.
Antigen retrieval : Heat mediated antigen retrieval step in citrate buffer was performed.
Dilution : 1:100

2 / 24
Anti-Histone H3K9K14K23K27ac (Acetyl Lys9/Lys14/Lys23/Lys27) antibody used in IHC (Paraffin sections) (IHC-P). GTX02535
GTX02535 IHC-P Image

IHC-P analysis of rat stomach tissue using GTX02535 Histone H3K9K14K23K27ac (Acetyl Lys9/Lys14/Lys23/Lys27) antibody.
Antigen retrieval : Heat mediated antigen retrieval step in citrate buffer was performed.
Dilution : 1:100

3 / 24
Anti-Histone H3K9K14K23K27ac (Acetyl Lys9/Lys14/Lys23/Lys27) antibody used in IHC (Paraffin sections) (IHC-P). GTX02535
GTX02535 IHC-P Image

IHC-P analysis of human esophageal and adjacent normal cancer tissue using GTX02535 Histone H3K9K14K23K27ac (Acetyl Lys9/Lys14/Lys23/Lys27) antibody.
Antigen retrieval : Heat mediated antigen retrieval step in citrate buffer was performed.
Dilution : 1:100

4 / 24
Anti-Histone H3K9K14K23K27ac (Acetyl Lys9/Lys14/Lys23/Lys27) antibody used in IHC (Paraffin sections) (IHC-P). GTX02535
GTX02535 IHC-P Image

IHC-P analysis of mouse testis tissue using GTX02535 Histone H3K9K14K23K27ac (Acetyl Lys9/Lys14/Lys23/Lys27) antibody.
Antigen retrieval : Heat mediated antigen retrieval step in citrate buffer was performed.
Dilution : 1:100

5 / 24
Anti-Histone H3K9K14K23K27ac (Acetyl Lys9/Lys14/Lys23/Lys27) antibody used in Western Blot (WB). GTX02535
GTX02535 WB Image

WB analysis of extracts from various samples using GTX02535 Histone H3K9K14K23K27ac (Acetyl Lys9/Lys14/Lys23/Lys27) antibody.
Lane 1 : Heat-shock treated EC304 cells, blocked with antigen-specific peptides
Lane 2 : Heat-shock treated EC304 cells
Lane 3 : UV treated A2780 cells
Lane 4 : UV treated RAW264.7 cells

6 / 24
Anti-Histone H3K9K14K23K27ac (Acetyl Lys9/Lys14/Lys23/Lys27) antibody used in IHC (Paraffin sections) (IHC-P). GTX02535
GTX02535 IHC-P Image

IHC-P analysis of mouse heart tissue using GTX02535 Histone H3K9K14K23K27ac (Acetyl Lys9/Lys14/Lys23/Lys27) antibody.
Antigen retrieval : Heat mediated antigen retrieval step in citrate buffer was performed.
Dilution : 1:100

7 / 24
Anti-Histone H3K9K14K23K27ac (Acetyl Lys9/Lys14/Lys23/Lys27) antibody used in Western Blot (WB). GTX02535
GTX02535 WB Image

WB analysis of extracts from COLO205 cells (TSA 1M, 18 hr) using GTX02535 Histone H3K9K14K23K27ac (Acetyl Lys9/Lys14/Lys23/Lys27) antibody.
Lane 1 : Ab prior treated with Ac-blocking peptide
Lane 2 : Ab prior treated with Non-Ac-blocking peptide
Lane 3 : untreated sample

8 / 24
Anti-Histone H3K9K14K23K27ac (Acetyl Lys9/Lys14/Lys23/Lys27) antibody used in IHC (Paraffin sections) (IHC-P). GTX02535
GTX02535 IHC-P Image

IHC-P analysis of rat kidney tissue using GTX02535 Histone H3K9K14K23K27ac (Acetyl Lys9/Lys14/Lys23/Lys27) antibody.
Antigen retrieval : Heat mediated antigen retrieval step in citrate buffer was performed.
Dilution : 1:100

9 / 24
Anti-Histone H3K9K14K23K27ac (Acetyl Lys9/Lys14/Lys23/Lys27) antibody used in Immunocytochemistry/ Immunofluorescence (ICC/IF). GTX02535
GTX02535 ICC/IF Image

ICC/IF analysis of PFA-fixed HeLa cells (4h of LPS treatment) using GTX02535 Histone H3K9K14K23K27ac (Acetyl Lys9/Lys14/Lys23/Lys27) antibody.
Red : Primary antibody
Green : Tubulin
Blue : DAPI
Permeabilization : 0.1% Triton X-100
Dilution : 1:200

10 / 24
Anti-Histone H3K9K14K23K27ac (Acetyl Lys9/Lys14/Lys23/Lys27) antibody used in IHC (Paraffin sections) (IHC-P). GTX02535
GTX02535 IHC-P Image

IHC-P analysis of human colorectal cancer tissue using GTX02535 Histone H3K9K14K23K27ac (Acetyl Lys9/Lys14/Lys23/Lys27) antibody.
Antigen retrieval : Heat mediated antigen retrieval step in citrate buffer was performed.
Dilution : 1:100

11 / 24
Anti-Histone H3K9K14K23K27ac (Acetyl Lys9/Lys14/Lys23/Lys27) antibody used in IHC (Paraffin sections) (IHC-P). GTX02535
GTX02535 IHC-P Image

IHC-P analysis of human colorectal cancer and adjacent normal tissue using GTX02535 Histone H3K9K14K23K27ac (Acetyl Lys9/Lys14/Lys23/Lys27) antibody.
Antigen retrieval : Heat mediated antigen retrieval step in citrate buffer was performed.
Dilution : 1:100

12 / 24
Anti-Histone H3K9K14K23K27ac (Acetyl Lys9/Lys14/Lys23/Lys27) antibody used in IHC (Paraffin sections) (IHC-P). GTX02535
GTX02535 IHC-P Image

IHC-P analysis of human ovarian cancer tissue using GTX02535 Histone H3K9K14K23K27ac (Acetyl Lys9/Lys14/Lys23/Lys27) antibody.
Antigen retrieval : Heat mediated antigen retrieval step in citrate buffer was performed.
Dilution : 1:100

13 / 24
Anti-Histone H3K9K14K23K27ac (Acetyl Lys9/Lys14/Lys23/Lys27) antibody used in IHC (Paraffin sections) (IHC-P). GTX02535
GTX02535 IHC-P Image

IHC-P analysis of mouse kidney tissue using GTX02535 Histone H3K9K14K23K27ac (Acetyl Lys9/Lys14/Lys23/Lys27) antibody.
Antigen retrieval : Heat mediated antigen retrieval step in citrate buffer was performed.
Dilution : 1:100

14 / 24
Anti-Histone H3K9K14K23K27ac (Acetyl Lys9/Lys14/Lys23/Lys27) antibody used in IHC (Paraffin sections) (IHC-P). GTX02535
GTX02535 IHC-P Image

IHC-P analysis of rat spleen tissue using GTX02535 Histone H3K9K14K23K27ac (Acetyl Lys9/Lys14/Lys23/Lys27) antibody.
Antigen retrieval : Heat mediated antigen retrieval step in citrate buffer was performed.
Dilution : 1:100

15 / 24
Anti-Histone H3K9K14K23K27ac (Acetyl Lys9/Lys14/Lys23/Lys27) antibody used in IHC (Paraffin sections) (IHC-P). GTX02535
GTX02535 IHC-P Image

IHC-P analysis of human kidney cancer tissue using GTX02535 Histone H3K9K14K23K27ac (Acetyl Lys9/Lys14/Lys23/Lys27) antibody.
Antigen retrieval : Heat mediated antigen retrieval step in citrate buffer was performed.
Dilution : 1:100

16 / 24
Anti-Histone H3K9K14K23K27ac (Acetyl Lys9/Lys14/Lys23/Lys27) antibody used in IHC (Paraffin sections) (IHC-P). GTX02535
GTX02535 IHC-P Image

IHC-P analysis of mouse brain tissue using GTX02535 Histone H3K9K14K23K27ac (Acetyl Lys9/Lys14/Lys23/Lys27) antibody.
Antigen retrieval : Heat mediated antigen retrieval step in citrate buffer was performed.
Dilution : 1:100

17 / 24
Anti-Histone H3K9K14K23K27ac (Acetyl Lys9/Lys14/Lys23/Lys27) antibody used in IHC (Paraffin sections) (IHC-P). GTX02535
GTX02535 IHC-P Image

IHC-P analysis of rat liver tissue using GTX02535 Histone H3K9K14K23K27ac (Acetyl Lys9/Lys14/Lys23/Lys27) antibody.
Antigen retrieval : Heat mediated antigen retrieval step in citrate buffer was performed.
Dilution : 1:100

18 / 24
Anti-Histone H3K9K14K23K27ac (Acetyl Lys9/Lys14/Lys23/Lys27) antibody used in Western Blot (WB). GTX02535
GTX02535 WB Image

WB analysis of extracts from COLO205 cells (TSA 1M, 18 hr) using GTX02535 Histone H3K9K14K23K27ac (Acetyl Lys9/Lys14/Lys23/Lys27) antibody.

19 / 24
Anti-Histone H3K9K14K23K27ac (Acetyl Lys9/Lys14/Lys23/Lys27) antibody used in IHC (Paraffin sections) (IHC-P). GTX02535
GTX02535 IHC-P Image

IHC-P analysis of human pancreatic cancer tissue using GTX02535 Histone H3K9K14K23K27ac (Acetyl Lys9/Lys14/Lys23/Lys27) antibody.
Antigen retrieval : Heat mediated antigen retrieval step in citrate buffer was performed.
Dilution : 1:100

20 / 24
Anti-Histone H3K9K14K23K27ac (Acetyl Lys9/Lys14/Lys23/Lys27) antibody used in IHC (Paraffin sections) (IHC-P). GTX02535
GTX02535 IHC-P Image

IHC-P analysis of human gastric and adjacent normal cancer tissue using GTX02535 Histone H3K9K14K23K27ac (Acetyl Lys9/Lys14/Lys23/Lys27) antibody.
Antigen retrieval : Heat mediated antigen retrieval step in citrate buffer was performed.
Dilution : 1:100

21 / 24
Anti-Histone H3K9K14K23K27ac (Acetyl Lys9/Lys14/Lys23/Lys27) antibody used in IHC (Paraffin sections) (IHC-P). GTX02535
GTX02535 IHC-P Image

IHC-P analysis of mouse muscle tissue using GTX02535 Histone H3K9K14K23K27ac (Acetyl Lys9/Lys14/Lys23/Lys27) antibody.
Antigen retrieval : Heat mediated antigen retrieval step in citrate buffer was performed.
Dilution : 1:100

22 / 24
Anti-Histone H3K9K14K23K27ac (Acetyl Lys9/Lys14/Lys23/Lys27) antibody used in IHC (Paraffin sections) (IHC-P). GTX02535
GTX02535 IHC-P Image

IHC-P analysis of human esophageal cancer tissue using GTX02535 Histone H3K9K14K23K27ac (Acetyl Lys9/Lys14/Lys23/Lys27) antibody.
Antigen retrieval : Heat mediated antigen retrieval step in citrate buffer was performed.
Dilution : 1:100

23 / 24
Anti-Histone H3K9K14K23K27ac (Acetyl Lys9/Lys14/Lys23/Lys27) antibody used in IHC (Paraffin sections) (IHC-P). GTX02535
GTX02535 IHC-P Image

IHC-P analysis of rat brain tissue using GTX02535 Histone H3K9K14K23K27ac (Acetyl Lys9/Lys14/Lys23/Lys27) antibody.
Antigen retrieval : Heat mediated antigen retrieval step in citrate buffer was performed.
Dilution : 1:100

24 / 24
Anti-Histone H3K9K14K23K27ac (Acetyl Lys9/Lys14/Lys23/Lys27) antibody used in IHC (Paraffin sections) (IHC-P). GTX02535
Anti-Histone H3K9K14K23K27ac (Acetyl Lys9/Lys14/Lys23/Lys27) antibody used in IHC (Paraffin sections) (IHC-P). GTX02535
Anti-Histone H3K9K14K23K27ac (Acetyl Lys9/Lys14/Lys23/Lys27) antibody used in IHC (Paraffin sections) (IHC-P). GTX02535
Anti-Histone H3K9K14K23K27ac (Acetyl Lys9/Lys14/Lys23/Lys27) antibody used in IHC (Paraffin sections) (IHC-P). GTX02535
Anti-Histone H3K9K14K23K27ac (Acetyl Lys9/Lys14/Lys23/Lys27) antibody used in IHC (Paraffin sections) (IHC-P). GTX02535
Anti-Histone H3K9K14K23K27ac (Acetyl Lys9/Lys14/Lys23/Lys27) antibody used in Western Blot (WB). GTX02535
Anti-Histone H3K9K14K23K27ac (Acetyl Lys9/Lys14/Lys23/Lys27) antibody used in IHC (Paraffin sections) (IHC-P). GTX02535
Anti-Histone H3K9K14K23K27ac (Acetyl Lys9/Lys14/Lys23/Lys27) antibody used in Western Blot (WB). GTX02535
Anti-Histone H3K9K14K23K27ac (Acetyl Lys9/Lys14/Lys23/Lys27) antibody used in IHC (Paraffin sections) (IHC-P). GTX02535
Anti-Histone H3K9K14K23K27ac (Acetyl Lys9/Lys14/Lys23/Lys27) antibody used in Immunocytochemistry/ Immunofluorescence (ICC/IF). GTX02535
Anti-Histone H3K9K14K23K27ac (Acetyl Lys9/Lys14/Lys23/Lys27) antibody used in IHC (Paraffin sections) (IHC-P). GTX02535
Anti-Histone H3K9K14K23K27ac (Acetyl Lys9/Lys14/Lys23/Lys27) antibody used in IHC (Paraffin sections) (IHC-P). GTX02535
Anti-Histone H3K9K14K23K27ac (Acetyl Lys9/Lys14/Lys23/Lys27) antibody used in IHC (Paraffin sections) (IHC-P). GTX02535
Anti-Histone H3K9K14K23K27ac (Acetyl Lys9/Lys14/Lys23/Lys27) antibody used in IHC (Paraffin sections) (IHC-P). GTX02535
Anti-Histone H3K9K14K23K27ac (Acetyl Lys9/Lys14/Lys23/Lys27) antibody used in IHC (Paraffin sections) (IHC-P). GTX02535
Anti-Histone H3K9K14K23K27ac (Acetyl Lys9/Lys14/Lys23/Lys27) antibody used in IHC (Paraffin sections) (IHC-P). GTX02535
Anti-Histone H3K9K14K23K27ac (Acetyl Lys9/Lys14/Lys23/Lys27) antibody used in IHC (Paraffin sections) (IHC-P). GTX02535
Anti-Histone H3K9K14K23K27ac (Acetyl Lys9/Lys14/Lys23/Lys27) antibody used in IHC (Paraffin sections) (IHC-P). GTX02535
Anti-Histone H3K9K14K23K27ac (Acetyl Lys9/Lys14/Lys23/Lys27) antibody used in Western Blot (WB). GTX02535
Anti-Histone H3K9K14K23K27ac (Acetyl Lys9/Lys14/Lys23/Lys27) antibody used in IHC (Paraffin sections) (IHC-P). GTX02535
Anti-Histone H3K9K14K23K27ac (Acetyl Lys9/Lys14/Lys23/Lys27) antibody used in IHC (Paraffin sections) (IHC-P). GTX02535
Anti-Histone H3K9K14K23K27ac (Acetyl Lys9/Lys14/Lys23/Lys27) antibody used in IHC (Paraffin sections) (IHC-P). GTX02535
Anti-Histone H3K9K14K23K27ac (Acetyl Lys9/Lys14/Lys23/Lys27) antibody used in IHC (Paraffin sections) (IHC-P). GTX02535
Anti-Histone H3K9K14K23K27ac (Acetyl Lys9/Lys14/Lys23/Lys27) antibody used in IHC (Paraffin sections) (IHC-P). GTX02535
  • Host
    Rabbit
  • Clonality
    Polyclonal
  • Isotype
    IgG
  • Applications
    WB ICC/IF IHC-P
  • Reactivity
    Human, Mouse, Rat
See all Histone H3 products