Histone H3R17me2 (Asymmetric Di-methyl Arg17) antibody

Cat. No. GTX124113
Cat. No.  GTX124113
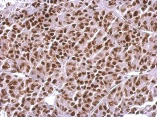
Anti-Histone H3R17me2 (Asymmetric Di-methyl Arg17) antibody used in IHC (Paraffin sections) (IHC-P). GTX124113
GTX124113 IHC-P Image

Histone H3R17me2 (dimethyl Arg17) antibody detects Histone H3R17me2 (dimethyl Arg17) protein at nucleus on mouse lung by immunohistochemical analysis.
Sample: Paraffin-embedded mouse lung.
Histone H3R17me2 (dimethyl Arg17) antibody (GTX124113) dilution: 1:500.

Antigen Retrieval: Trilogy™ (EDTA based, pH 8.0) buffer, 15min

1 / 6
Anti-Histone H3R17me2 (Asymmetric Di-methyl Arg17) antibody used in Dot blot (Dot). GTX124113
GTX124113 Dot Image

Dotblot analysis of anti-Histone3 (di-methyl Arg17) antibody with peptide samples.
Peptide samples (0.1 μg) were spotted onto positively charged nylon membrane and blotted with Histone3 (di-methyl Arg17) antibody (GTX124113) at different dilution as indicated.
A: Peptide samples of Histone3 (di-methyl Arg17)
B: Peptide samples of Histone H3.1

2 / 6
Anti-Histone H3R17me2 (Asymmetric Di-methyl Arg17) antibody used in IHC (Paraffin sections) (IHC-P). GTX124113
GTX124113 IHC-P Image

Histone H3R17me2 (dimethyl Arg17) antibody detects Histone H3R17me2 (dimethyl Arg17) protein at nucleus on mouse middle brain by immunohistochemical analysis.
Sample: Paraffin-embedded mouse middle brain.
Histone H3R17me2 (dimethyl Arg17) antibody (GTX124113) dilution: 1:500.

Antigen Retrieval: Trilogy™ (EDTA based, pH 8.0) buffer, 15min

3 / 6
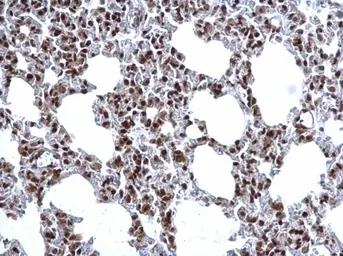
Anti-Histone H3R17me2 (Asymmetric Di-methyl Arg17) antibody used in IHC (Paraffin sections) (IHC-P). GTX124113
GTX124113 IHC-P Image

Histone3 (di-methyl Arg17) antibody detects HIST1H3A protein at nucleus on AGS xenograft by immunohistochemical analysis.
Sample: Paraffin-embedded AGS xenograft.
Histone3 (di-methyl Arg17) antibody (GTX124113) dilution: 1:500.

Antigen Retrieval: Trilogy™ (EDTA based, pH 8.0) buffer, 15min

4 / 6
Anti-Histone H3R17me2 (Asymmetric Di-methyl Arg17) antibody used in IHC (Paraffin sections) (IHC-P). GTX124113
GTX124113 IHC-P Image

Histone H3R17me2 (dimethyl Arg17) antibody detects Histone H3R17me2 (dimethyl Arg17) protein at nucleus on mouse muscle by immunohistochemical analysis.
Sample: Paraffin-embedded mouse muscle.
Histone H3R17me2 (dimethyl Arg17) antibody (GTX124113) dilution: 1:500.

Antigen Retrieval: Trilogy™ (EDTA based, pH 8.0) buffer, 15min

5 / 6
Anti-Histone H3R17me2 (Asymmetric Di-methyl Arg17) antibody used in Western Blot (WB). GTX124113
GTX124113 WB Image

Histone3 (di-methyl Arg17) antibody detects HIST1H3A protein by Western blot analysis.
A. 30 μg 293T whole cell lysate/extract
B. 30 μg A431 whole cell lysate/extract
C. 30 μg HeLa whole cell lysate/extract
D. 30 μg HepG2 whole cell lysate/extract
15 % SDS-PAGE
Histone3 (di-methyl Arg17) antibody (GTX124113) dilution: 1:1000

6 / 6
Anti-Histone H3R17me2 (Asymmetric Di-methyl Arg17) antibody used in IHC (Paraffin sections) (IHC-P). GTX124113
Anti-Histone H3R17me2 (Asymmetric Di-methyl Arg17) antibody used in Dot blot (Dot). GTX124113
Anti-Histone H3R17me2 (Asymmetric Di-methyl Arg17) antibody used in IHC (Paraffin sections) (IHC-P). GTX124113
Anti-Histone H3R17me2 (Asymmetric Di-methyl Arg17) antibody used in IHC (Paraffin sections) (IHC-P). GTX124113
Anti-Histone H3R17me2 (Asymmetric Di-methyl Arg17) antibody used in IHC (Paraffin sections) (IHC-P). GTX124113
Anti-Histone H3R17me2 (Asymmetric Di-methyl Arg17) antibody used in Western Blot (WB). GTX124113
  • Host
    Rabbit
  • Clonality
    Polyclonal
  • Isotype
    IgG
  • Applications
    WB IHC-P Dot
  • Reactivity
    Human, Mouse
See all Histone H3 products