Hsp70 antibody [W27] (ready-to-use)

Cat. No. GTX05136
Cat. No.  GTX05136
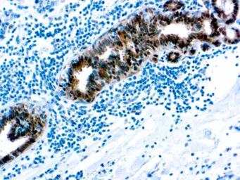
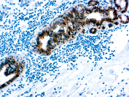
Anti-Hsp70 antibody [W27] (ready-to-use) used in IHC (Paraffin sections) (IHC-P). GTX05136
GTX05136 IHC-P Image

IHC-P analysis of human breast carcinoma tissue using GTX05136 Hsp70 antibody [W27] (ready-to-use).

1 / 1
Anti-Hsp70 antibody [W27] (ready-to-use) used in IHC (Paraffin sections) (IHC-P). GTX05136
  • Host
    Mouse
  • Clonality
    Monoclonal
  • Clone Name
    W27
  • Isotype
    IgG2a
  • Applications
    IHC-P
  • Reactivity
    Human
See all Hsp70 products