Hsp90 beta antibody [1D9]

Cat. No. GTX60459
Cat. No.  GTX60459
Anti-Hsp90 beta antibody [1D9] used in ELISA (ELISA). GTX60459
GTX60459 ELISA Image

ELISA analysis of antigen using GTX60459 HSP90 beta antibody [1D9].
Red : Control antigen 100ng
Purple : Antigen 10ng
Green : Antigen 50ng
Blue : Antigen 100ng

1 / 3
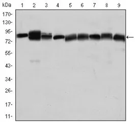
Anti-Hsp90 beta antibody [1D9] used in Western Blot (WB). GTX60459
GTX60459 WB Image

WB analysis of Jurkat (1), A431 (2), HeLa (3), A549 (4), HEK293 (5), K562 (6), NIH3T3 (7), PC-12 (8) and Cos7 (9) cell lysate using GTX60459 HSP90 beta antibody [1D9].

2 / 3
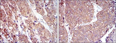
Anti-Hsp90 beta antibody [1D9] used in IHC (Paraffin sections) (IHC-P). GTX60459
GTX60459 IHC-P Image

IHC-P analysis of prostate cancer tissue (left) and lung cancer tissue (right) using GTX60459 HSP90 beta antibody [1D9].

3 / 3
Anti-Hsp90 beta antibody [1D9] used in ELISA (ELISA). GTX60459
Anti-Hsp90 beta antibody [1D9] used in Western Blot (WB). GTX60459
Anti-Hsp90 beta antibody [1D9] used in IHC (Paraffin sections) (IHC-P). GTX60459
  • Host
    Mouse
  • Clonality
    Monoclonal
  • Clone Name
    1D9
  • Isotype
    IgG1
  • Applications
    WB IHC-P ELISA
  • Reactivity
    Human, Mouse, Rat, Monkey
See all Hsp90 beta products