Hsp90 beta antibody

Cat. No. GTX50607
Cat. No.  GTX50607
Anti-Hsp90 beta antibody used in Western Blot (WB). GTX50607
GTX50607 WB Image

WB analysis of extracts from HeLa and A2780 cells using GTX50607 HSP90 beta antibody.

1 / 3
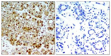
Anti-Hsp90 beta antibody used in IHC (Paraffin sections) (IHC-P). GTX50607
GTX50607 IHC-P Image

IHC-P analysis of human breast carcinoma tissue using GTX50607 HSP90 beta antibody.
Left : Primary antibody
Right : Primary antibody pre-incubated with the antigen specific peptide

2 / 3
Anti-Hsp90 beta antibody used in Immunocytochemistry/ Immunofluorescence (ICC/IF). GTX50607
GTX50607 ICC/IF Image

ICC/IF analysis of methanol-fixed HeLa cells using GTX50607 HSP90 beta antibody.

3 / 3
Anti-Hsp90 beta antibody used in Western Blot (WB). GTX50607
Anti-Hsp90 beta antibody used in IHC (Paraffin sections) (IHC-P). GTX50607
Anti-Hsp90 beta antibody used in Immunocytochemistry/ Immunofluorescence (ICC/IF). GTX50607
  • Host
    Rabbit
  • Clonality
    Polyclonal
  • Isotype
    IgG
  • Applications
    WB ICC/IF IHC-P
  • Reactivity
    Human
See all Hsp90 beta products