Hsp90 beta antibody

Cat. No. GTX79247
Cat. No.  GTX79247
Anti-Hsp90 beta antibody used in Immunoprecipitation (IP). GTX79247
GTX79247 IP Image

IP analysis of HeLa cell lysates using GTX79247 HSP90 beta antibody.
IP reaction : 2μg antibody / 500μg lysate
Dilution : 1:1000

1 / 11
Anti-Hsp90 beta antibody used in Immunocytochemistry/ Immunofluorescence (ICC/IF). GTX79247
GTX79247 ICC/IF Image

ICC/IF analysis of A2058 Cells using GTX79247 HSP90 beta antibody. Cells were probed without (right) or with(left) an antibody.
Green : Primary antibody
Blue : Nuclei
Red : Actin
Fixation : formaldehyde
Dilution : 1:100 overnight at 4 ºC

2 / 11
Anti-Hsp90 beta antibody used in Western Blot (WB). GTX79247
GTX79247 WB Image

WB analysis of mouse HSP86 (Hsp90 alpha) or HSP84 (Hsp90 beta) and protein using GTX22928 Hsp90 alpha antibody (Lane 1) or GTX79247 HSP90 beta antibody (Lane 2).

3 / 11
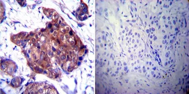
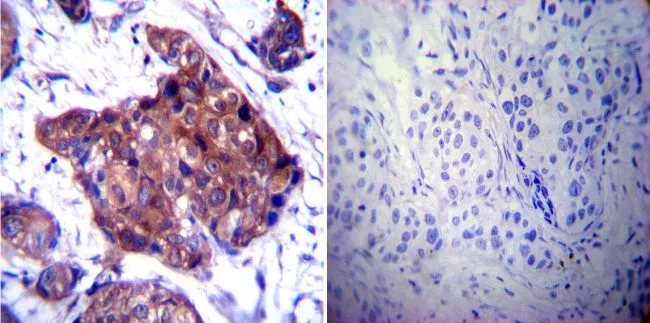
Anti-Hsp90 beta antibody used in IHC (Paraffin sections) (IHC-P). GTX79247
GTX79247 IHC-P Image

IHC-P analysis of human breast carcinoma tissue using GTX79247 HSP90 beta antibody.
Left : Primary antibody
Right : Negative control without primary antibody
Antigen retrieval : heat induced antigen retrieval was performed using 10mM sodium citrate (pH6.0) buffer, microwaved for 8-15 minutes
Dilution : 1:100

4 / 11
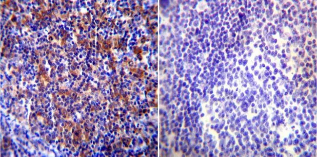
Anti-Hsp90 beta antibody used in IHC (Paraffin sections) (IHC-P). GTX79247
GTX79247 IHC-P Image

IHC-P analysis of human placenta tissue using GTX79247 HSP90 beta antibody.
Left : Primary antibody
Right : Negative control without primary antibody
Antigen retrieval : heat induced antigen retrieval was performed using 10mM sodium citrate (pH6.0) buffer, microwaved for 8-15 minutes
Dilution : 1:20

5 / 11
Anti-Hsp90 beta antibody used in Flow cytometry (FCM). GTX79247
GTX79247 FCM Image

FACS analysis of permeabilized, fixed HeLa cells using GTX79247 HSP90 beta antibody.
Blue histogram : Primary antibody
Black histogram : Isotype control antibody
Dilution : 10 μg/ml incubated for 1 hour on ice

6 / 11
Anti-Hsp90 beta antibody used in Immunocytochemistry/ Immunofluorescence (ICC/IF). GTX79247
GTX79247 ICC/IF Image

ICC/IF analysis of HeLa and NIH3T3 cells using GTX79247 HSP90 beta antibody.
Green : Primary antibody
Blue : Nuclei
Fixation : Formalin
Permeabilization : 0.1% Triton X-100 in TBS for 10 minutes
Dilution : 1:50 for at least 1 hour at room temperature

7 / 11
Anti-Hsp90 beta antibody used in Western Blot (WB). GTX79247
GTX79247 WB Image

WB analysis of 50μg of the indicated whole cell lysates per well using GTX79247 HSP90 beta antibody.
Dilution : 1:1000

8 / 11
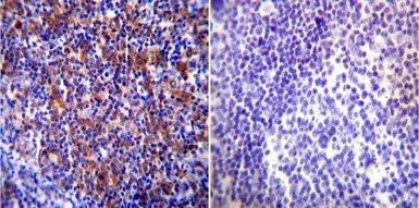
Anti-Hsp90 beta antibody used in IHC (Paraffin sections) (IHC-P). GTX79247
GTX79247 IHC-P Image

IHC-P analysis of human tonsil tissue using GTX79247 HSP90 beta antibody.
Left : Primary antibody
Right : Negative control without primary antibody
Antigen retrieval : heat induced antigen retrieval was performed using 10mM sodium citrate (pH6.0) buffer, microwaved for 8-15 minutes
Dilution : 1:100

9 / 11
Anti-Hsp90 beta antibody used in Immunocytochemistry/ Immunofluorescence (ICC/IF). GTX79247
GTX79247 ICC/IF Image

ICC/IF analysis of U251 cells using GTX79247 HSP90 beta antibody. Cells were probed without (right) or with(left) an antibody.
Green : Primary antibody
Blue : Nuclei
Red : Actin
Fixation : formaldehyde
Dilution : 1:100 overnight at 4 ºC

10 / 11
Anti-Hsp90 beta antibody used in Immunocytochemistry/ Immunofluorescence (ICC/IF). GTX79247
GTX79247 ICC/IF Image

ICC/IF analysis of HepG2 cells using GTX79247 HSP90 beta antibody. Cells were probed without (right) or with(left) an antibody.
Green : Primary antibody
Blue : Nuclei
Red : Actin
Fixation : formaldehyde
Dilution : 1:100 overnight at 4 ºC

11 / 11
Anti-Hsp90 beta antibody used in Immunoprecipitation (IP). GTX79247
Anti-Hsp90 beta antibody used in Immunocytochemistry/ Immunofluorescence (ICC/IF). GTX79247
Anti-Hsp90 beta antibody used in Western Blot (WB). GTX79247
Anti-Hsp90 beta antibody used in IHC (Paraffin sections) (IHC-P). GTX79247
Anti-Hsp90 beta antibody used in IHC (Paraffin sections) (IHC-P). GTX79247
Anti-Hsp90 beta antibody used in Flow cytometry (FCM). GTX79247
Anti-Hsp90 beta antibody used in Immunocytochemistry/ Immunofluorescence (ICC/IF). GTX79247
Anti-Hsp90 beta antibody used in Western Blot (WB). GTX79247
Anti-Hsp90 beta antibody used in IHC (Paraffin sections) (IHC-P). GTX79247
Anti-Hsp90 beta antibody used in Immunocytochemistry/ Immunofluorescence (ICC/IF). GTX79247
Anti-Hsp90 beta antibody used in Immunocytochemistry/ Immunofluorescence (ICC/IF). GTX79247
  • Host
    Rabbit
  • Clonality
    Polyclonal
  • Isotype
    IgG
  • Applications
    WB ICC/IF IHC-P IHC-Fr FCM IP IHC
  • Reactivity
    Human, Mouse, Rat, Primate
See all Hsp90 beta products