Human Papillomavirus type 16 E6 antibody

Cat. No. GTX04630
Cat. No.  GTX04630
Anti-Human Papillomavirus type 16 E6 antibody used in Flow cytometry (FCM). GTX04630
GTX04630 FCM Image

FACS analysis of 4% PFA-fixed HeLa cells using GTX04630 Human Papillomavirus type 16 E6 antibody.
Green : Primary antibody
Orange : Isotype control
Light blue : secondary antibody only
Black : cell only
Permeabilization : 90% ice-cold methanol
Dilution : 1:100

1 / 3
Anti-Human Papillomavirus type 16 E6 antibody used in IHC (Paraffin sections) (IHC-P). GTX04630
GTX04630 IHC-P Image

IHC-P analysis of human cancer tissue using GTX04630 Human Papillomavirus type 16 E6 antibody.
Dilution : 1:200

2 / 3
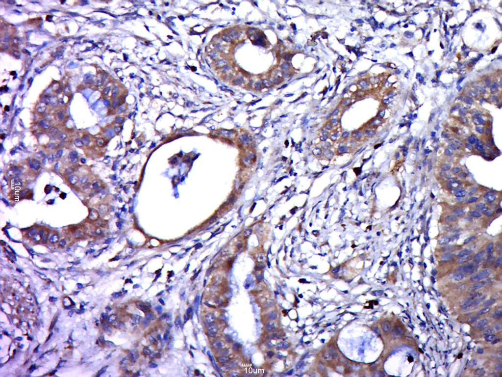
Anti-Human Papillomavirus type 16 E6 antibody used in IHC (Paraffin sections) (IHC-P). GTX04630
GTX04630 IHC-P Image

IHC-P analysis of human cervical cancer tissue using GTX04630 Human Papillomavirus type 16 E6 antibody.
Antigen retrieval : Boiled sodium citrate buffer (pH 6.0)
Dilution : 1:400

3 / 3
Anti-Human Papillomavirus type 16 E6 antibody used in Flow cytometry (FCM). GTX04630
Anti-Human Papillomavirus type 16 E6 antibody used in IHC (Paraffin sections) (IHC-P). GTX04630
Anti-Human Papillomavirus type 16 E6 antibody used in IHC (Paraffin sections) (IHC-P). GTX04630
  • Host
    Rabbit
  • Clonality
    Polyclonal
  • Isotype
    IgG
  • Applications
    WB IHC-P FCM
  • Reactivity
    Human papillomavirus type 16
See all Human Papillomavirus type 16 E6 products