IASPP antibody

Cat. No. GTX37659
Cat. No.  GTX37659
Anti-IASPP antibody used in Western Blot (WB). GTX37659
GTX37659 WB Image

WB analysis of HeLa cell lysate using GTX37659 IASPP antibody.

1 / 3
Anti-IASPP antibody used in IHC (Paraffin sections) (IHC-P). GTX37659
GTX37659 IHC-P Image

IHC-P analysis of keloid tissue using GTX37659 IASPP antibody.

2 / 3
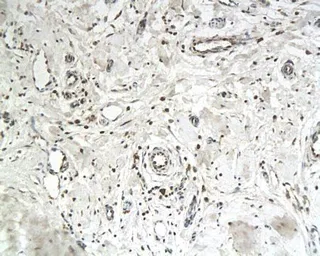
Anti-IASPP antibody used in IHC (Paraffin sections) (IHC-P). GTX37659
GTX37659 IHC-P Image

IHC-P analysis of keloid tissue using GTX37659 IASPP antibody.
Dilution : 1:200

3 / 3
Anti-IASPP antibody used in Western Blot (WB). GTX37659
Anti-IASPP antibody used in IHC (Paraffin sections) (IHC-P). GTX37659
Anti-IASPP antibody used in IHC (Paraffin sections) (IHC-P). GTX37659
  • Host
    Rabbit
  • Clonality
    Polyclonal
  • Isotype
    IgG
  • Applications
    WB IHC-P
  • Reactivity
    Human, Mouse
See all IASPP products