ICOS Ligand antibody

Cat. No. GTX32664
Cat. No.  GTX32664
Anti-ICOS Ligand antibody used in IHC (Paraffin sections) (IHC-P). GTX32664
GTX32664 IHC-P Image

IHC-P analysis of human kidney tissue using GTX32664 ICOS Ligand antibody.
Dilution : 1:100

1 / 3
Anti-ICOS Ligand antibody used in Western Blot (WB). GTX32664
GTX32664 WB Image

WB analysis of various sample lysates using GTX32664 ICOS Ligand antibody.
Dilution : 1:1000
Loading : 25μg per lane

2 / 3
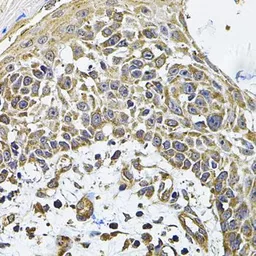
Anti-ICOS Ligand antibody used in IHC (Paraffin sections) (IHC-P). GTX32664
GTX32664 IHC-P Image

IHC-P analysis of human skin carcinoma tissue using GTX32664 ICOS Ligand antibody.
Dilution : 1:100

3 / 3
Anti-ICOS Ligand antibody used in IHC (Paraffin sections) (IHC-P). GTX32664
Anti-ICOS Ligand antibody used in Western Blot (WB). GTX32664
Anti-ICOS Ligand antibody used in IHC (Paraffin sections) (IHC-P). GTX32664
  • Host
    Rabbit
  • Clonality
    Polyclonal
  • Isotype
    IgG
  • Applications
    WB IHC-P
  • Reactivity
    Human, Mouse, Rat
See all ICOS Ligand products