ID2 antibody [10C3]

Cat. No. GTX84328
Cat. No.  GTX84328
Anti-ID2 antibody [10C3] used in Immunocytochemistry/ Immunofluorescence (ICC/IF). GTX84328
GTX84328 ICC/IF Image

ICC/IF analysis of HeLa cells using GTX84328 ID2 antibody [10C3].

1 / 5
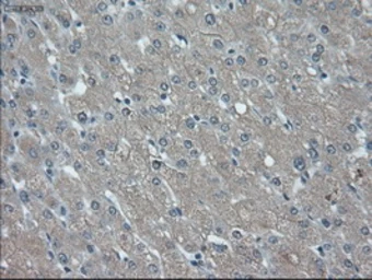
Anti-ID2 antibody [10C3] used in IHC (Paraffin sections) (IHC-P). GTX84328
GTX84328 IHC-P Image

IHC-P analysis of human liver carcinoma tissue using GTX84328 ID2 antibody [10C3].
Antigen retrieval : Heat-induced epitope retrieval by 10mM citrate buffer, pH6.0, 100ºC for 10min.

2 / 5
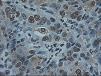
Anti-ID2 antibody [10C3] used in IHC (Paraffin sections) (IHC-P). GTX84328
GTX84328 IHC-P Image

IHC-P analysis of human liver tissue using GTX84328 ID2 antibody [10C3].
Antigen retrieval : Heat-induced epitope retrieval by 10mM citrate buffer, pH6.0, 100ºC for 10min.

3 / 5
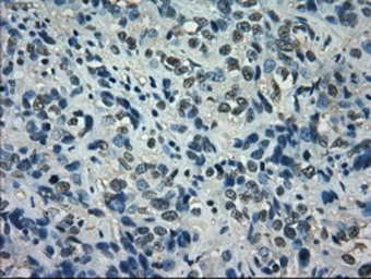
Anti-ID2 antibody [10C3] used in IHC (Paraffin sections) (IHC-P). GTX84328
GTX84328 IHC-P Image

IHC-P analysis of human bladder carcinoma tissue using GTX84328 ID2 antibody [10C3].
Antigen retrieval : Heat-induced epitope retrieval by 10mM citrate buffer, pH6.0, 100ºC for 10min.

4 / 5
Anti-ID2 antibody [10C3] used in Western Blot (WB). GTX84328
GTX84328 WB Image

WB analysis of HEK293T cells transfected with ID2 plasmid (Right) or empty vector (Left) for 48 hrs using GTX84328 ID2 antibody [10C3].
Loading : 5 ug per lane

5 / 5
Anti-ID2 antibody [10C3] used in Immunocytochemistry/ Immunofluorescence (ICC/IF). GTX84328
Anti-ID2 antibody [10C3] used in IHC (Paraffin sections) (IHC-P). GTX84328
Anti-ID2 antibody [10C3] used in IHC (Paraffin sections) (IHC-P). GTX84328
Anti-ID2 antibody [10C3] used in IHC (Paraffin sections) (IHC-P). GTX84328
Anti-ID2 antibody [10C3] used in Western Blot (WB). GTX84328
  • Host
    Mouse
  • Clonality
    Monoclonal
  • Clone Name
    10C3
  • Isotype
    IgG2b
  • Applications
    WB ICC/IF IHC-P
  • Reactivity
    Human
See all ID2 products