IDH2 antibody

Cat. No. GTX32666
Cat. No.  GTX32666
Anti-IDH2 antibody used in Immunoprecipitation (IP). GTX32666
GTX32666 IP Image

IP analysis of MCF-7 cell lysate using GTX32666 IDH2 antibody.
Antibody amount : 1μg / 200μg lysate
Dilution : 1:1000

1 / 6
Anti-IDH2 antibody used in Immunocytochemistry/ Immunofluorescence (ICC/IF). GTX32666
GTX32666 ICC/IF Image

ICC/IF analysis of L929 cells using GTX32666 IDH2 antibody.
Blue : DAPI
Dilution : 1:100

2 / 6
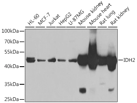
Anti-IDH2 antibody used in Western Blot (WB). GTX32666
GTX32666 WB Image

WB analysis of various sample lysates using GTX32666 IDH2 antibody.
Dilution : 1:1000
Loading : 25μg per lane

3 / 6
Anti-IDH2 antibody used in ChIP assay (ChIP assay). GTX32666
GTX32666 ChIP assay Image

ChIP analysis of 293T cell lysate using GTX32666 IDH2 antibody. The amount of immunoprecipitated DNA was checked by quantitative PCR. Histogram was constructed by the ratios of the immunoprecipitated DNA to the input.

4 / 6
Anti-IDH2 antibody used in IHC (Paraffin sections) (IHC-P). GTX32666
GTX32666 IHC-P Image

IHC-P analysis of human colon carcinoma tissue using GTX32666 IDH2 antibody.
Dilution : 1:100

5 / 6
Anti-IDH2 antibody used in Immunocytochemistry/ Immunofluorescence (ICC/IF). GTX32666
GTX32666 ICC/IF Image

ICC/IF analysis of C6 cells using GTX32666 IDH2 antibody.
Blue : DAPI
Dilution : 1:100

6 / 6
Anti-IDH2 antibody used in Immunoprecipitation (IP). GTX32666
Anti-IDH2 antibody used in Immunocytochemistry/ Immunofluorescence (ICC/IF). GTX32666
Anti-IDH2 antibody used in Western Blot (WB). GTX32666
Anti-IDH2 antibody used in ChIP assay (ChIP assay). GTX32666
Anti-IDH2 antibody used in IHC (Paraffin sections) (IHC-P). GTX32666
Anti-IDH2 antibody used in Immunocytochemistry/ Immunofluorescence (ICC/IF). GTX32666
  • Host
    Rabbit
  • Clonality
    Polyclonal
  • Isotype
    IgG
  • Applications
    WB ICC/IF IHC-P IP ChIP assay
  • Reactivity
    Human, Mouse, Rat
See all IDH2 products