IGF2BP2 antibody [3F9]

Cat. No. GTX84306
Cat. No.  GTX84306
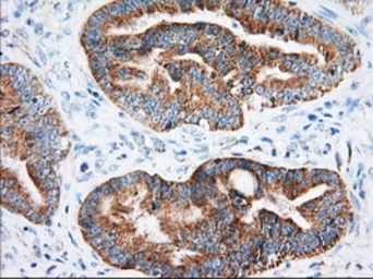
Anti-IGF2BP2 antibody [3F9] used in IHC (Paraffin sections) (IHC-P). GTX84306
GTX84306 IHC-P Image

IHC-P analysis of human breast adenocarcinoma tissue using GTX84306 IGF2BP2 antibody [3F9].
Antigen retrieval : Heat-induced epitope retrieval by 10mM citrate buffer, pH6.0, 100ºC for 10min.
Dilution : 1:50

1 / 11
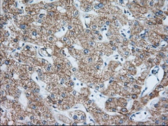
Anti-IGF2BP2 antibody [3F9] used in IHC (Paraffin sections) (IHC-P). GTX84306
GTX84306 IHC-P Image

IHC-P analysis of human colon adenocarcinoma tissue using GTX84306 IGF2BP2 antibody [3F9].
Antigen retrieval : Heat-induced epitope retrieval by 10mM citrate buffer, pH6.0, 100ºC for 10min.
Dilution : 1:50

2 / 11
Anti-IGF2BP2 antibody [3F9] used in Immunocytochemistry/ Immunofluorescence (ICC/IF). GTX84306
GTX84306 ICC/IF Image

ICC/IF analysis of COS7 cells transiently transfected with IGF2BP2 plasmid using GTX84306 IGF2BP2 antibody [3F9].

3 / 11
Anti-IGF2BP2 antibody [3F9] used in Western Blot (WB). GTX84306
GTX84306 WB Image

WB analysis of various cell lines using GTX84306 IGF2BP2 antibody [3F9].
Loading : 35 ug per lane

4 / 11
Anti-IGF2BP2 antibody [3F9] used in Flow cytometry (FCM). GTX84306
GTX84306 FCM Image

FACS analysis of HEK293T cells transfected with either IGF2BP2 plasmid(Red) or empty vector control plasmid(Blue) using GTX84306 IGF2BP2 antibody [3F9].

5 / 11
Anti-IGF2BP2 antibody [3F9] used in Western Blot (WB). GTX84306
GTX84306 WB Image

WB analysis of HEK293T cells transfected with IGF2BP2 plasmid (Right) or empty vector (Left) for 48 hrs using GTX84306 IGF2BP2 antibody [3F9].
Loading : 5 ug per lane

6 / 11
Anti-IGF2BP2 antibody [3F9] used in Flow cytometry (FCM). GTX84306
GTX84306 FCM Image

FACS analysis of Jurkat cells using GTX84306 IGF2BP2 antibody [3F9].
Red : Primary antibody
Blue : Negative control antibody

7 / 11
Anti-IGF2BP2 antibody [3F9] used in IHC (Paraffin sections) (IHC-P). GTX84306
GTX84306 IHC-P Image

IHC-P analysis of human liver tissue using GTX84306 IGF2BP2 antibody [3F9].
Antigen retrieval : Heat-induced epitope retrieval by 10mM citrate buffer, pH6.0, 100ºC for 10min.
Dilution : 1:50

8 / 11
Anti-IGF2BP2 antibody [3F9] used in Flow cytometry (FCM). GTX84306
GTX84306 FCM Image

FACS analysis of HeLa cells using GTX84306 IGF2BP2 antibody [3F9].
Red : Primary antibody
Blue : Negative control antibody

9 / 11
Anti-IGF2BP2 antibody [3F9] used in IHC (Paraffin sections) (IHC-P). GTX84306
GTX84306 IHC-P Image

IHC-P analysis of human ovary adenocarcinoma tissue using GTX84306 IGF2BP2 antibody [3F9].
Antigen retrieval : Heat-induced epitope retrieval by 10mM citrate buffer, pH6.0, 100ºC for 10min.
Dilution : 1:50

10 / 11
Anti-IGF2BP2 antibody [3F9] used in IHC (Paraffin sections) (IHC-P). GTX84306
GTX84306 IHC-P Image

IHC-P analysis of human kidney tissue using GTX84306 IGF2BP2 antibody [3F9].
Antigen retrieval : Heat-induced epitope retrieval by 10mM citrate buffer, pH6.0, 100ºC for 10min.
Dilution : 1:50

11 / 11
Anti-IGF2BP2 antibody [3F9] used in IHC (Paraffin sections) (IHC-P). GTX84306
Anti-IGF2BP2 antibody [3F9] used in IHC (Paraffin sections) (IHC-P). GTX84306
Anti-IGF2BP2 antibody [3F9] used in Immunocytochemistry/ Immunofluorescence (ICC/IF). GTX84306
Anti-IGF2BP2 antibody [3F9] used in Western Blot (WB). GTX84306
Anti-IGF2BP2 antibody [3F9] used in Flow cytometry (FCM). GTX84306
Anti-IGF2BP2 antibody [3F9] used in Western Blot (WB). GTX84306
Anti-IGF2BP2 antibody [3F9] used in Flow cytometry (FCM). GTX84306
Anti-IGF2BP2 antibody [3F9] used in IHC (Paraffin sections) (IHC-P). GTX84306
Anti-IGF2BP2 antibody [3F9] used in Flow cytometry (FCM). GTX84306
Anti-IGF2BP2 antibody [3F9] used in IHC (Paraffin sections) (IHC-P). GTX84306
Anti-IGF2BP2 antibody [3F9] used in IHC (Paraffin sections) (IHC-P). GTX84306
  • Host
    Mouse
  • Clonality
    Monoclonal
  • Clone Name
    3F9
  • Isotype
    IgG1
  • Applications
    WB ICC/IF IHC-P FCM
  • Reactivity
    Human, Rat, Dog, Monkey
See all IGF2BP2 products