IGF2R antibody [GT1078]

Cat. No. GTX64270
Cat. No.  GTX64270
Anti-IGF2R antibody [GT1078] used in Western Blot (WB). GTX64270
GTX64270 WB Image

Various whole cell extracts (30 μg) were separated by 5% SDS-PAGE, and the membrane was blotted with IGF2R antibody [GT1078] (GTX64270) diluted at 1:500. The HRP-conjugated anti-rabbit IgG antibody (GTX213110-01) was used to detect the primary antibody. Corresponding RNA expression data for the same cell lines are based on Human Protein Atlas program.

1 / 6
Anti-IGF2R antibody [GT1078] used in Immunocytochemistry/ Immunofluorescence (ICC/IF). GTX64270
GTX64270 ICC/IF Image

ICC/IF analysis of HeLa cells using GTX64270 IGF2 Receptor antibody [GT1078].
Fixation : 4% PFA
Permeabilization : 0.25% Triton X-100 in PBS
Green : Primary antibody
Blue : DAPI

2 / 6
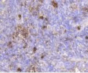
Anti-IGF2R antibody [GT1078] used in IHC (Paraffin sections) (IHC-P). GTX64270
GTX64270 IHC-P Image

IHC-P analysis of human tonsil tissue using GTX64270 IGF2 Receptor antibody [GT1078].

3 / 6
Anti-IGF2R antibody [GT1078] used in Immunocytochemistry/ Immunofluorescence (ICC/IF). GTX64270
GTX64270 ICC/IF Image

ICC/IF analysis of MCF-7 cells using GTX64270 IGF2 Receptor antibody [GT1078].
Fixation : 4% PFA
Permeabilization : 0.25% Triton X-100 in PBS
Green : Primary antibody
Blue : DAPI

4 / 6
Anti-IGF2R antibody [GT1078] used in Immunocytochemistry/ Immunofluorescence (ICC/IF). GTX64270
GTX64270 ICC/IF Image

ICC/IF analysis of HepG2 cells using GTX64270 IGF2 Receptor antibody [GT1078].
Fixation : 4% PFA
Permeabilization : 0.25% Triton X-100 in PBS
Green : Primary antibody
Blue : DAPI

5 / 6
Anti-IGF2R antibody [GT1078] used in Flow cytometry (FCM). GTX64270
GTX64270 FCM Image

FACS analysis of HeLa cells using GTX64270 IGF2 Receptor antibody [GT1078].
Blue : Primary antibody
Red : Isotype control

6 / 6
Anti-IGF2R antibody [GT1078] used in Western Blot (WB). GTX64270
Anti-IGF2R antibody [GT1078] used in Immunocytochemistry/ Immunofluorescence (ICC/IF). GTX64270
Anti-IGF2R antibody [GT1078] used in IHC (Paraffin sections) (IHC-P). GTX64270
Anti-IGF2R antibody [GT1078] used in Immunocytochemistry/ Immunofluorescence (ICC/IF). GTX64270
Anti-IGF2R antibody [GT1078] used in Immunocytochemistry/ Immunofluorescence (ICC/IF). GTX64270
Anti-IGF2R antibody [GT1078] used in Flow cytometry (FCM). GTX64270
  • Host
    Rabbit
  • Clonality
    Monoclonal
  • Clone Name
    GT1078
  • Isotype
    IgG
  • Applications
    WB ICC/IF IHC-P FCM
  • Reactivity
    Human
See all IGF2R products