IGFBP2 antibody

Cat. No. GTX113471
Cat. No.  GTX113471
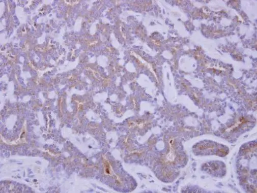
Anti-IGFBP2 antibody used in IHC (Paraffin sections) (IHC-P). GTX113471
GTX113471 IHC-P Image

IGFBP2 antibody detects secreted IGFBP2 protein by immunohistochemical analysis.
Sample: Paraffin-embedded human glioblastoma.
IGFBP2 stained by IGFBP2 antibody (GTX113471) diluted at 1:500.
Antigen Retrieval: Citrate buffer, pH 6.0, 15 min

1 / 4
Anti-IGFBP2 antibody used in Western Blot (WB). GTX113471
GTX113471 WB Image

Sample (30 ug of whole cell lysate)
A: NT2D1
10% SDS PAGE
GTX113471 diluted at 1:1000

2 / 4
Anti-IGFBP2 antibody used in IHC (Paraffin sections) (IHC-P). GTX113471
GTX113471 IHC-P Image

Immunohistochemical analysis of paraffin-embedded human breast cancer, using IGFBP2(GTX113471) antibody at 1:250 dilution.
Antigen Retrieval: Trilogy™ (EDTA based, pH 8.0) buffer, 15min

3 / 4
Anti-IGFBP2 antibody used in IHC (Paraffin sections) (IHC-P). GTX113471
GTX113471 IHC-P Image

The data was published in the journal PLoS One in 2015. PMID: 25978399

4 / 4
Anti-IGFBP2 antibody used in IHC (Paraffin sections) (IHC-P). GTX113471
Anti-IGFBP2 antibody used in Western Blot (WB). GTX113471
Anti-IGFBP2 antibody used in IHC (Paraffin sections) (IHC-P). GTX113471
Anti-IGFBP2 antibody used in IHC (Paraffin sections) (IHC-P). GTX113471
  • Host
    Rabbit
  • Clonality
    Polyclonal
  • Isotype
    IgG
  • Applications
    WB IHC-P
  • Reactivity
    Human
See all IGFBP2 products