IGFBP7 antibody

Cat. No. GTX87146
Cat. No.  GTX87146
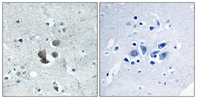
Anti-IGFBP7 antibody used in IHC (Paraffin sections) (IHC-P). GTX87146
GTX87146 IHC-P Image

IHC-P analysis of human brain tissue using GTX87146 IGFBP7 antibody. The picture on the right is blocked with the synthesized peptide.

1 / 1
Anti-IGFBP7 antibody used in IHC (Paraffin sections) (IHC-P). GTX87146
  • Host
    Rabbit
  • Clonality
    Polyclonal
  • Isotype
    IgG
  • Applications
    IHC-P
  • Reactivity
    Human
See all IGFBP7 products