IKB alpha antibody [6A920]

Cat. No. GTX12134
Cat. No.  GTX12134
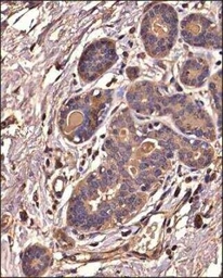
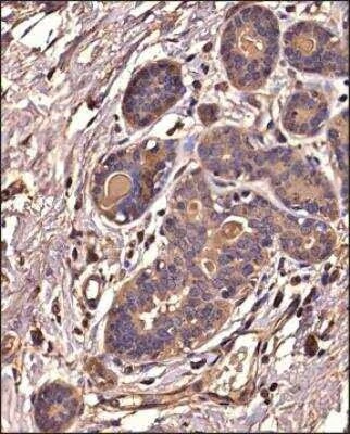
Anti-IKB alpha antibody [6A920] used in IHC (Paraffin sections) (IHC-P). GTX12134
GTX12134 IHC-P Image

IHC-P analysis of human breast tissue using GTX12134 IKB alpha antibody [6A920].
Cytoplasmic and membrane staining of glandular cells was observed.
Dilution : 1:200

1 / 6
Anti-IKB alpha antibody [6A920] used in Western Blot (WB). GTX12134
GTX12134 WB Image

WB analysis of NIH-3T3 cell lysate using GTX12134 IKB alpha antibody [6A920].

2 / 6
Anti-IKB alpha antibody [6A920] used in Western Blot (WB). GTX12134
GTX12134 WB Image

WB analysis of (A) Daudi and (B) NIH 3T3 cell lysate using GTX12134 IKB alpha antibody [6A920].
Dilution : 2 μg/ml

3 / 6
Anti-IKB alpha antibody [6A920] used in Western Blot (WB). GTX12134
GTX12134 WB Image

WB analysis of 100 μg/ml ALLN* (N-Acetyl-Leu-Leu-Norleucinal) treated Jurkat cell followed by incubation with (lanes 2 & 4) or without 1 nM TNF-a (1 & 3) using GTX12134 IKB alpha antibody [6A920] and IKB alpha phospho-specific antibody.
*ALLN (N-Acetyl-Leu-Leu-Norleucinal) : Calpain inhibitor and also proteasome inhibitor that prevents IkBa dephosphorylation

4 / 6
Anti-IKB alpha antibody [6A920] used in Flow cytometry (FCM). GTX12134
GTX12134 FCM Image

FACS (Intracellular staining) analysis of THP-1 cells using GTX12134 IKB alpha antibody [6A920].
Red : Primary antibody
Green : isotype control
Shaded histogram : cell only
Antibody amount : 0.25μg/10^6 cells

5 / 6
Anti-IKB alpha antibody [6A920] used in Western Blot (WB). GTX12134
GTX12134 WB Image

WB analysis of Jurkat, LNCaP, PC-3, HeLa, NIH3T3 cell lysates using GTX12134 IKB alpha antibody [6A920].
Dilution : 0.5 μg/ml

6 / 6
Anti-IKB alpha antibody [6A920] used in IHC (Paraffin sections) (IHC-P). GTX12134
Anti-IKB alpha antibody [6A920] used in Western Blot (WB). GTX12134
Anti-IKB alpha antibody [6A920] used in Western Blot (WB). GTX12134
Anti-IKB alpha antibody [6A920] used in Western Blot (WB). GTX12134
Anti-IKB alpha antibody [6A920] used in Flow cytometry (FCM). GTX12134
Anti-IKB alpha antibody [6A920] used in Western Blot (WB). GTX12134
  • Host
    Mouse
  • Clonality
    Monoclonal
  • Clone Name
    6A920
  • Isotype
    IgG1
  • Applications
    WB ICC/IF IHC-P FCM IP MS
  • Reactivity
    Human, Mouse, Rat
See all IKB alpha products