IKB alpha (phospho Ser32/Ser36) antibody

Cat. No. GTX79042
Cat. No.  GTX79042
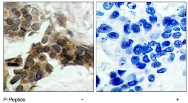
Anti-IKB alpha (phospho Ser32/Ser36) antibody used in IHC (Paraffin sections) (IHC-P). GTX79042
GTX79042 IHC-P Image

IHC-P analysis of human breast carcinoma tissue using GTX79042 IKB alpha (phospho Ser32/Ser36) antibody.

1 / 2
Anti-IKB alpha (phospho Ser32/Ser36) antibody used in Western Blot (WB). GTX79042
GTX79042 WB Image

The data was published in the 2021 in Transl Neurosci. PMID: 33708438

2 / 2
Anti-IKB alpha (phospho Ser32/Ser36) antibody used in IHC (Paraffin sections) (IHC-P). GTX79042
Anti-IKB alpha (phospho Ser32/Ser36) antibody used in Western Blot (WB). GTX79042
  • Host
    Rabbit
  • Clonality
    Polyclonal
  • Isotype
    IgG
  • Applications
    WB IHC-P
  • Reactivity
    Human, Rat
See all IKB alpha products