IKK alpha antibody [3G12H9]

Cat. No. GTX82770
Cat. No.  GTX82770
Anti-IKK alpha antibody [3G12H9] used in Immunocytochemistry/ Immunofluorescence (ICC/IF). GTX82770
GTX82770 ICC/IF Image

ICC/IF analysis of NIH3T3 cells using GTX82770 IKK alpha antibody [3G12H9].
Green : IKK alpha
Blue: DRAQ5 fluorescent DNA dye
Red: Actin filaments

1 / 3
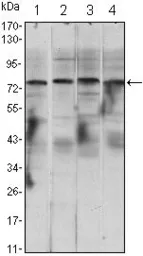
Anti-IKK alpha antibody [3G12H9] used in Western Blot (WB). GTX82770
GTX82770 WB Image

WB analysis of Raji (1), Jurkat (2), THP-1 (3) and K562 (4) cell lysate using GTX82770 IKK alpha antibody [3G12H9].

2 / 3
Anti-IKK alpha antibody [3G12H9] used in Flow cytometry (FCM). GTX82770
GTX82770 FCM Image

FACS analysis of A549 cells using GTX82770 IKK alpha antibody [3G12H9].
Blue : IKK alpha
Red : negative control

3 / 3
Anti-IKK alpha antibody [3G12H9] used in Immunocytochemistry/ Immunofluorescence (ICC/IF). GTX82770
Anti-IKK alpha antibody [3G12H9] used in Western Blot (WB). GTX82770
Anti-IKK alpha antibody [3G12H9] used in Flow cytometry (FCM). GTX82770
  • Host
    Mouse
  • Clonality
    Monoclonal
  • Clone Name
    3G12H9
  • Isotype
    IgG1
  • Applications
    WB ICC/IF FCM ELISA
  • Reactivity
    Human, Mouse
See all IKK alpha products