IL17 Receptor beta antibody

Cat. No. GTX00640
Cat. No.  GTX00640
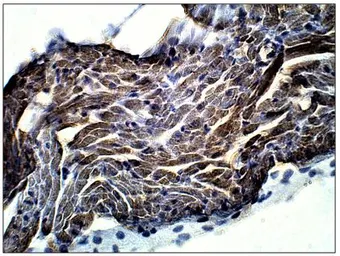
Anti-IL17 Receptor beta antibody used in IHC (Paraffin sections) (IHC-P). GTX00640
GTX00640 IHC-P Image

IHC-P analysis of rat testis tissue using GTX00640 IL17 Receptor beta antibody.
Dilution : 1:100

1 / 3
Anti-IL17 Receptor beta antibody used in IHC (Paraffin sections) (IHC-P). GTX00640
GTX00640 IHC-P Image

IHC-P analysis of rat heart tissue using GTX00640 IL17 Receptor beta antibody.
Dilution : 1:100

2 / 3
Anti-IL17 Receptor beta antibody used in Western Blot (WB). GTX00640
GTX00640 WB Image

WB analysis of IL17RB recombinant protein using GTX00640 IL17 Receptor beta antibody.
Dilution : 1:500

3 / 3
Anti-IL17 Receptor beta antibody used in IHC (Paraffin sections) (IHC-P). GTX00640
Anti-IL17 Receptor beta antibody used in IHC (Paraffin sections) (IHC-P). GTX00640
Anti-IL17 Receptor beta antibody used in Western Blot (WB). GTX00640
  • Host
    Rabbit
  • Clonality
    Polyclonal
  • Isotype
    IgG
  • Applications
    WB IHC-P IP ELISA
  • Reactivity
    Human, Mouse, Rat
See all IL17 Receptor beta products