IL3 Receptor alpha antibody [N2C2], Internal

Cat. No. GTX101563
Cat. No.  GTX101563
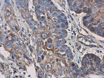
Anti-IL3 Receptor alpha antibody [N2C2], Internal used in IHC (Paraffin sections) (IHC-P). GTX101563
GTX101563 IHC-P Image

IL3 Receptor alpha antibody [N2C2], Internal detects IL3 Receptor alpha protein at cell membrane and cytoplasm in human esophageal cancer by immunohistochemical analysis.
Sample: Paraffin-embedded human esophageal cancer.
IL3 Receptor alpha antibody [N2C2], Internal (GTX101563) diluted at 1:500.

Antigen Retrieval: Citrate buffer, pH 6.0, 15 min

1 / 3
Anti-IL3 Receptor alpha antibody [N2C2], Internal used in Western Blot (WB). GTX101563
GTX101563 WB Image

THP-1 whole cell extract (30 μg), non-transfected (–) and transfected (+) 293T whole cell extracts (5 μg) were separated by 10% SDS-PAGE, and the membrane was blotted with Estrogen Receptor beta antibody (GTX101563) diluted at 1:1000.

2 / 3
Anti-IL3 Receptor alpha antibody [N2C2], Internal used in IHC (Paraffin sections) (IHC-P). GTX101563
GTX101563 IHC-P Image

Immunohistochemical analysis of paraffin-embedded human breast cancer, using IL3 Receptor alpha(GTX101563) antibody at 1:250 dilution.
Antigen Retrieval: Trilogy™ (EDTA based, pH 8.0) buffer, 15min

3 / 3
Anti-IL3 Receptor alpha antibody [N2C2], Internal used in IHC (Paraffin sections) (IHC-P). GTX101563
Anti-IL3 Receptor alpha antibody [N2C2], Internal used in Western Blot (WB). GTX101563
Anti-IL3 Receptor alpha antibody [N2C2], Internal used in IHC (Paraffin sections) (IHC-P). GTX101563
  • Host
    Rabbit
  • Clonality
    Polyclonal
  • Isotype
    IgG
  • Applications
    WB IHC-P
  • Reactivity
    Human
See all IL3 Receptor alpha products