IL32 antibody

Cat. No. GTX131565
Cat. No.  GTX131565
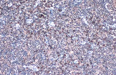
Anti-IL32 antibody used in IHC (Paraffin sections) (IHC-P). GTX131565
GTX131565 IHC-P Image

IL32 antibody detects IL32 protein at cytoplasm by immunohistochemical analysis.
Sample: Paraffin-embedded human tonsil.
IL32 stained by IL32 antibody (GTX131565) diluted at 1:1000.
Antigen Retrieval: Citrate buffer, pH 6.0, 15 min

1 / 2
Anti-IL32 antibody used in Western Blot (WB). GTX131565
GTX131565 WB Image

Whole cell extract (30 μg) was separated by 15% SDS-PAGE, and the membrane was blotted with IL32 antibody (GTX131565) diluted at 1:1000.

2 / 2
Anti-IL32 antibody used in IHC (Paraffin sections) (IHC-P). GTX131565
Anti-IL32 antibody used in Western Blot (WB). GTX131565
  • Host
    Rabbit
  • Clonality
    Polyclonal
  • Isotype
    IgG
  • Applications
    WB IHC-P
  • Reactivity
    Human
See all IL32 products