IL6 antibody

Cat. No. GTX29770
Cat. No.  GTX29770
Anti-IL6 antibody used in Western Blot (WB). GTX29770
GTX29770 WB Image

WB analysis of sequential diluted rat IL-6 under either reducing or non-reducing conditions using GTX29770 IL6 antibody.
Working concentration : 0.1 - 0.2 ug/ml

1 / 3
Anti-IL6 antibody used in ELISA (ELISA). GTX29770
GTX29770 ELISA Image

ELISA analysis of rat IL-6 recombinant protein(0.2 - 0.4 ng/well) using GTX29770 IL6 antibody(capture antibody) at 0.5 - 2.0 ug/ml and Biotinylated Anti-Rat IL-6 as a detection antibody.

2 / 3
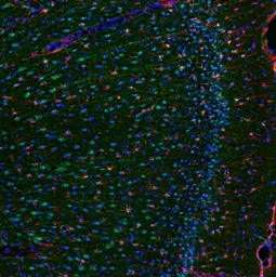
Anti-IL6 antibody used in IHC (Paraffin sections) (IHC-P). GTX29770
GTX29770 IHC-P Image

IHC-P analysis of colchicine injected rat brain (cingulate cortex) tissue using GTX29770 IL6 antibody.
Working concentration : 1 μg/ml
Green : Primary antibody
Blue : DAPI
Red : Actin

3 / 3
Anti-IL6 antibody used in Western Blot (WB). GTX29770
Anti-IL6 antibody used in ELISA (ELISA). GTX29770
Anti-IL6 antibody used in IHC (Paraffin sections) (IHC-P). GTX29770
  • Host
    Goat
  • Clonality
    Polyclonal
  • Isotype
    IgG
  • Applications
    WB IHC-P ELISA Neutralizing /Inhibition Sandwich ELISA
  • Reactivity
    Rat
See all IL6 products